搜尋結果

以下是含有動脈瘤破裂的搜尋結果,共35

  • 19歲女激戰店經理突猝死!家屬淚訴「避孕藥害病發」求償977萬

    19歲女激戰店經理突猝死!家屬淚訴「避孕藥害病發」求償977萬

    高雄19歲女子小美(化名)在文創店打工期間,與店經理阿龍交往並多次激戰,完事後會吃下避孕藥。某天兩人約會時,小美身體不適卻仍與阿龍發生關係,隨後出現呼吸困難,送醫後宣告不治。家屬懷疑,小美因服用避孕藥及身體負荷過大導致病發,向阿龍及文創店求償近千萬元。但法院審理後認為,小美死因屬突發性疾病,最終判決家屬敗訴。

  • 「隱形炸彈」無感難防範!婦人腦動脈瘤破裂倒地 緊急栓塞術搶命

    「隱形炸彈」無感難防範!婦人腦動脈瘤破裂倒地 緊急栓塞術搶命

    新竹68歲的王姓婦人患有高血壓,清晨被家人發現跌倒在家中浴室門口緊急送醫,經「急性腦中風區域聯防」機制,迅速將病人後送轉至東元綜合醫院繼續搶救,透過電腦斷層影像圖檢查,神經內科醫師蔡坤璋診斷為蜘蛛網膜下出血,當機立斷進行血管攝影檢查,抓出危及生命主因,發現婦人的前大腦交通動脈處藏有1顆動脈瘤且已破裂出血不止,醫療團隊迅速執行動脈瘤栓塞術,手術成功止血,順利救回婦人的寶貴生命。

  • 像被雷打到!6旬男劇烈頭痛倒地 腦動脈瘤破裂引發致命疾病

    像被雷打到!6旬男劇烈頭痛倒地 腦動脈瘤破裂引發致命疾病

    台中64歲林姓男子日前在家突然感到劇烈頭痛,「像被雷打到」,幾分鐘內倒地昏迷,家人送他到衛福部豐原醫院急診,醫療團隊隨即啟動腦中風及腦出血急救流程,經電腦斷層檢查顯示患者罹患蜘蛛網膜下腔出血,主因是顱內動脈瘤破裂,神經外科與放射診斷科啟動複合式手術室,救回他一命。

  • 日夜顛倒腦瘤破裂 配音員險喪命

    日夜顛倒腦瘤破裂 配音員險喪命

     知名配音員李小姐從事配音工作超過20年,長期日夜顛倒、高工時的工作型態,使她處於高度壓力與過勞狀態。某日她突然出現劇烈頭痛後陷入昏迷,家人緊急將她送至急診,經診斷為「顱內動脈瘤破裂」,若未及時治療,致死率高達5成以上,倖存者也常留下嚴重神經功能障礙。

  • 48歲網紅媽直播「劇烈頭痛昏迷」! 搶救14天不治悲留3子女

    48歲網紅媽直播「劇烈頭痛昏迷」! 搶救14天不治悲留3子女

    48歲網紅歌手段煜(段雪霞)擁有一副好歌喉,經常透過抖音直播唱歌,吸引不少忠實粉絲關注。怎料,她上(5)月直播前突然劇烈頭痛,送醫急救後被診斷為突發性腦溢血,經過14天搶救仍未能挽回生命。而身為單親媽媽的她,還留下3個子女,令網友感到惋惜又心疼。

  • 婦跌倒回房猝死!兒「5日後才發現?」  高大成揭關鍵

    婦跌倒回房猝死!兒「5日後才發現?」 高大成揭關鍵

    高雄林園發生震驚的社會事件,一名66歲的潘姓婦人被發現在家中身亡,其43歲的兒子鄭男向警局報案。據鄭男的說法,他的母親早在18日時在家中不慎跌倒,但由於母親當時表示自己「不需要協助」,他便未加以理會。直到五天後,鄭男才驚覺母親已無生命跡象。經過檢察官的初步調查,發現鄭男在母親摔倒受傷後,並未積極提供必要的照顧,導致其逐漸走向死亡,因此決定以殺人罪嫌將他逮捕。知名法醫高大成於25日針對此案提出分析,初步判斷死因可能與「蜘蛛網膜出血」有關。

  • 懷孕期間 主動脈併發症風險增3倍

    懷孕期間 主動脈併發症風險增3倍

     孕婦主動脈併發症風險更高!林口長庚醫院公布最新研究結果,顯示婦女懷孕期間至產後一年內,發生主動脈剝離或動脈瘤破裂等相關併發症風險,是未懷孕期間的近3倍,呼籲納入國際臨床指引,加強監測孕期高風險女性、延長產後追蹤。研究成果已刊登於歐洲心臟科學會官方期刊「歐洲心臟雜誌」。

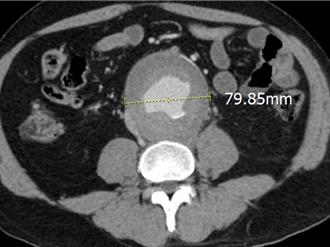
  • 7旬翁劇烈腹痛竟是動脈瘤破裂 醫師緊急微創手術搶命

    7旬翁劇烈腹痛竟是動脈瘤破裂 醫師緊急微創手術搶命

    台中70多歲江姓老翁日前突發劇烈腰痛腹痛,急送台中慈濟醫院緊急檢查發現腹主動脈瘤破裂,命懸一線,院方心臟血管外科醫師鄭伊佐帶領團隊緊急施行微創手術,搭配去年9月納入健保給付的血管內錨釘技術,成功穩定病情,不僅救命,還為病人省下近40萬元醫療費用。

  • 腰背痛竟是主動脈瘤作怪 醫師創新手術放「T分枝支架」保命

    腰背痛竟是主動脈瘤作怪 醫師創新手術放「T分枝支架」保命

    有腎結石病史的55歲高先生日前出現腰痛、背痛,他以為是結石復發,經影像檢查,發現是腹部長出8公分大的腹主動脈瘤。台北慈濟醫院心臟血管外科楊凱文醫師以微創手術替病人置放難度較高且臨床較少使用的T分枝主動脈支架,先避免主動脈瘤立即破裂的風險,再於術後14天執行冠狀動脈繞道手術,同時解除主動脈瘤破裂和心肌梗塞的危機。

  • 不定時炸彈!腦動脈瘤破裂前沒症狀 醫示警6族群

    不定時炸彈!腦動脈瘤破裂前沒症狀 醫示警6族群

    一名女護理師某日早晨於自家昏倒,緊急被送往醫院急診,經診斷為腦動脈血管瘤破裂,所幸手術成功搶回一命,術後也積極復健,目前已能自理生活。醫師示警,腦動脈瘤如不定時炸彈,多數患者在破裂前都沒症狀,若屬於50歲以上、有家族病史、長期處於高壓環境等6大高風險族群,務必要注意。

  • 老婦眼皮下垂又畏光 竟是動脈瘤作祟

    老婦眼皮下垂又畏光 竟是動脈瘤作祟

     80歲的曾婆婆前些日子突然頭暈目眩、雙眼複視、畏光,症狀長達1個月,接受眼科治療也沒有改善,1周後忽然右眼皮下垂,右眼完全睜不開,經轉診到神經外科,竟發現一顆0.8公分的顱內動脈瘤,壓迫到動眼神經,所幸手術治療後,右眼皮終於可以張開,右眼轉動也漸漸恢復正常。

  • 職場不平等待遇、教養子女困難都上榜!新住民在台灣面臨10大難題

    職場不平等待遇、教養子女困難都上榜!新住民在台灣面臨10大難題

    你怎麼稱呼這群來自其他國家的人?

  • 新北 45歲女會計師器捐 4位受贈者重生

    新北 45歲女會計師器捐 4位受贈者重生

     「讓愛延續、施比受更有福!」45歲女會計師日前不幸腦死,她生前簽器官捐贈同意書,家屬仍處在喪親苦痛情緒中,看到摯愛家人寫下的捐贈原因,決定完成她遺愛人間的意願。經由多重器官捐贈,幫助4位受贈者及家庭重獲新生,讓生命以另一種方式延續。

  • 45歲會計師猝死器捐救4人 生前「留1句話」暖哭人

    45歲會計師猝死器捐救4人 生前「留1句話」暖哭人

    一名45歲的女會計師日前腦部動脈瘤破裂造成顱內大出血,後續轉至台北醫學大學部立雙和醫院急診,經搶救後仍不樂觀,家屬看到她曾簽屬過器官捐贈同意書,勾選「全部捐贈」,簽署原因為「明天先到,還是無常先到?誰都無法預知,讓我們以小愛來溫暖這社會吧!」讓家屬決定完成她的心願,幫助4位受捐者重獲新生。

  • 背痛昏倒送急診 竟揪出體內2顆不定時炸彈 醫示警1類人小心

    背痛昏倒送急診 竟揪出體內2顆不定時炸彈 醫示警1類人小心

    一名85歲老翁因為出現劇烈背痛後昏厥而送至醫院急診,經檢查後發現,在降主動脈的近端發現一個5.6公分的血管瘤,且在腹主動脈上也發現一個6.9公分的血管瘤,隨時有破裂的風險,才會導致病人產生劇烈疼痛感。所幸,經接受主動脈支架置放手術後,分別將兩個血管瘤隔離開來,避免破裂的危險,病人術後第二天即能起床走動,並順利恢復出院。

  • 高雄 雙胞胎母病逝器捐 家屬傳承遺愛人間

    高雄 雙胞胎母病逝器捐 家屬傳承遺愛人間

     高雄一名雙胞胎姊妹花的母親「栗栗」黃楨栗,去年因腦部動脈瘤破裂去世,因生前已簽署器官捐贈,捐出肝臟、腎臟、眼角膜等遺愛人間,19日高雄長庚陪同其丈夫、家屬出席活動,家人落淚表示,「全家都已簽器捐」,要讓栗栗精神傳承下去。

  • 雙胞胎媽媽突發動脈瘤破裂 器捐遺愛人間助5人重獲新生

    雙胞胎媽媽突發動脈瘤破裂 器捐遺愛人間助5人重獲新生

    一名雙胞胎姊妹花的母親「栗栗」黃楨栗,為洗腎丈夫簽署器官捐贈,希望能活體捐出腎臟幫助丈夫,沒想到去年栗栗突然因腦部動脈瘤破裂去世,捐出器官幫助5人重獲新生,雖其丈夫因血型因素無法獲栗栗捐腎,但仍因政府「三親等捨得優先政策」獲他人捐腎,讓丈夫落淚喊「感謝太太讓我重獲新生」。

  • 惠中寺未來與希望講座 李旭東談腦中風古今的美麗與哀愁

    惠中寺未來與希望講座 李旭東談腦中風古今的美麗與哀愁

    惠中寺2024「未來與希望」系列講座,6月10日邀請到台中榮總名醫、權威神經外科主任、李綜合醫療體系總院長李旭東主講「腦中風.古今的美麗與哀愁」。深入探討腦中風分類、症狀、就醫、積極治療、以及預防等議題。現場及網路直播吸引近1350名聽眾,總觸及人次超過6000人。

  • 外籍妻拿到身份證後人間蒸發 「突懷孕產女」帶回家!癱瘓夫崩潰求離

    外籍妻拿到身份證後人間蒸發 「突懷孕產女」帶回家!癱瘓夫崩潰求離

    彰化一名男子阿銘(化名)與妻子婚後幸福美滿,但對方後來取得身份證後態度大變,多年間經常外出在外不回,甚至自己癱瘓在床也不曾照料。然而妻子不僅數次情緒勒索要求公公幫忙還債,後來突然懷孕產女孩要帶回家報戶口,阿銘憤而提起告訴。彰化地院審理,判准雙方離婚。

  • 腦動脈瘤男無法行房 妻卻生了女寶!還嗆不給錢還債就賣淫

    腦動脈瘤男無法行房 妻卻生了女寶!還嗆不給錢還債就賣淫

    男子阿國(化名)因腦動脈瘤破裂,合併蜘蛛膜下腔出血,導致意識不清,四肢僵硬須長期臥床,完全喪失行動能力,生活無法自理。不料,妻子小萱(化名)卻離家,不曾返家照顧,甚至後來還生了女兒,阿國不滿2人長期未有性行為,不想當現成的爸,憤而向法院訴請離婚,並請求否認女兒是他所受胎。

回到頁首發表意見