33岁蔡先生平日常应酬,又没运动,4、5年来体重从70几公斤狂飙到118公斤,日前到医院健检赫然检查出,肝指数竟是正常值10倍,合併重度脂肪肝及高血脂。亚大附医肝胆胃肠科医师曾晟恩为鼓励他,揪他PK减肥。蔡先生靠着每天至少快走1小时、杜绝宵夜,3个月后竟减20公斤,大胜曾医师的17公斤。
「裤子都要重买了!」蔡先生说,他近年来体重狂飙破百,被朋友取绰号「0.1吨人」,同时出现疲倦、头晕及高血压,连走路都会喘,与曾医师PK减肥后,发愤每天至少快走1小时,且杜绝宵夜诱惑,没想到,3个月后竟然瘦了20公斤。
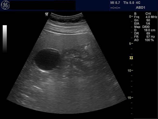
曾晟恩指出,蔡先生抽血检验发现GOT/GPT指数高达415/159 U/L(正常值在40 U/L以下),超音波检查发现有重度脂肪肝,胆固醇指数也异常。若没有积极改善,未来恐导致各种疾病上身,为鼓励蔡先生消脂保肝,他主动约定一起调整饮食和培养运动习惯。
「我虽减重17公斤,输了,但也找回健康!」曾晟恩说,他因工作忙碌,常忽略饮食控制与运动,常因久站进行检查工作,而导致膝盖疼痛,也出现中度脂肪肝及血脂肪等问题,他透过时间饮食限制法,并减少醣类摄取,不但精神变好,膝盖痛也不药而癒。
发表意见
中时新闻网对留言系统使用者发布的文字、图片或檔案保有片面修改或移除的权利。当使用者使用本网站留言服务时,表示已详细阅读并完全了解,且同意配合下述规定:
违反上述规定者,中时新闻网有权删除留言,或者直接封锁帐号!请使用者在发言前,务必先阅读留言板规则,谢谢配合。