以往有抽菸、喝酒习惯的南投竹山56岁林姓民眾,为减肥投入路跑运动,平均每次跑5公里,去年底却发现才跑了500公尺就体力不支,就医检查发现有3条管状动脉严重阻塞;另名务农的锺姓民眾则因胸闷就医、发现同样问题,所幸两人接受冠状动脉绕道手术治疗,重获新生。
林姓民眾告诉医师,他为减重开始路跑,平均每周路跑3、4次,每次都跑约5公里,一段时间下来,健康检查时除血压较高,其余身体指数都很正常,却仍感觉精神状况经常不佳,未料,去年底血压突然飙高到200mmHg,连爬楼梯都感到困难,惊觉身体出了问题。
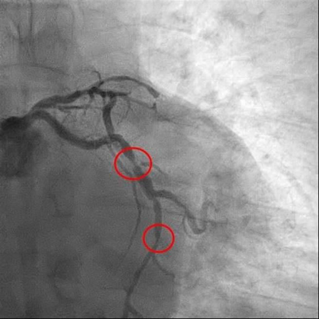
林男就医检查发现有3条冠状动脉严重钙化,经建议转院至亚大医院接受冠状动脉绕道手术治疗,半年来恢復情况不错,现在连续跑8公里路程还能脸不红、气不喘;而66岁的锺男不菸不酒,原本只有轻微高血压症状,9月开始却经常感到胸闷,就医检查发现3冠状动脉阻塞严重,手术后恢復正常。
亚洲大学附属医院心臟血管外科主任刘殷佐指出,冠状动脉主要供应心臟氧气与养分,若狭窄或阻塞,可能出现胸闷、气喘、心跳加速或头晕等情况,阻塞若未治疗,久了可能导致心肌梗塞。
刘殷佐表示,冠状动脉绕道手术是为阻塞的道路另辟一条高速公路,利用腿部大隐静脉或胸腔内壁内乳动脉的血管连接冠状动脉与主动脉,藉以让主动脉血流绕过阻塞处、到达未阻塞的冠状动脉部位,医院开院4年已执行逾百例开心手术。
亚洲大学附属医院心臟内科主任王宇澄说,亚大医院开院至今已完成4099例心导管手术,其中急性心肌梗塞有193例,为提供全方位医疗,今年12月更成立心臟血管中心,结合心臟内外科,可治疗心血管各种急重症病患,并对重症病人提供24小时紧急心导管冠状动脉扩张手术。
发表意见
中时新闻网对留言系统使用者发布的文字、图片或檔案保有片面修改或移除的权利。当使用者使用本网站留言服务时,表示已详细阅读并完全了解,且同意配合下述规定:
违反上述规定者,中时新闻网有权删除留言,或者直接封锁帐号!请使用者在发言前,务必先阅读留言板规则,谢谢配合。