孕妇子宫颈闭锁不全是造成早产的隐形杀手,事前徵兆较难发现。马偕医院用超音波弹性成像技术,发现有子宫颈闭锁不全风险的孕妇子宫颈较软,可望在怀孕初期採取预防早产措施。

马偕医院今天发布新闻稿,台北马偕医院妇产科以超音波弹性成像技术,观察怀孕第1孕期,即怀孕第12至14周以内的子宫颈结构,可预测孕妇发生子宫颈闭锁不全造成早产的机会,成果已发表于北欧妇产科期刊「斯堪的纳维亚妇产科期刊」。

台北马偕医院妇产部高危险妊娠科主任陈震宇接受媒体联访表示,子宫颈闭锁不全是怀孕中期常见的併发症,孕妇没有感到明显子宫收缩或痛感,但子宫颈口却扩张,羊膜经由子宫颈膨出,进而发生破水早产,发生率约1/100至1/2000,是产科主要的併发症之一。

「为什么子宫都没有收缩,宝宝就提早报到了?」陈震宇收治的孕妇曾小姐,怀孕22周时未感到明显宫缩,但子宫颈长度明显变短,且子宫颈已开口4公分,被诊断为子宫颈闭锁不全,紧急进行子宫颈缝合手术与安胎,但仍于怀孕33周时破水生产。

陈震宇说,造成子宫颈闭锁不全常见的原因包括曾接受过子宫颈锥状切除手术、子宫颈扩张术或人工流产,以及子宫结构异常、多胞胎或羊水过多造成子宫颈变短等原因,但临床上有一半以上的孕妇发生子宫颈闭锁不全时,并无上述的危险因子。

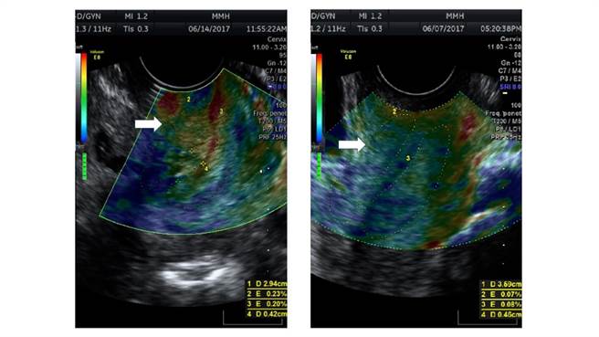
彩色超音波弹性成像技术,子宫颈闭锁不全的子宫颈在超音波下红色区域的比例增加(左),一般族群的子宫颈在超音波下大部分为蓝色区域(右)。(图/台北马偕医院提供)
彩色超音波弹性成像技术,子宫颈闭锁不全的子宫颈在超音波下红色区域的比例增加(左),一般族群的子宫颈在超音波下大部分为蓝色区域(右)。(图/台北马偕医院提供)

陈震宇表示,一般是在第2孕期、即怀孕14至28周间,透过阴道超音波检查子宫颈长度低于2.5公分,或以阴道扩张器检查子宫颈是否已扩张,以及先前孕妇是否有早产病史,来诊断是否子宫颈闭锁不全。

但到了第2孕期才採取预防早产措施,较为来不及,能愈早预测防范效果愈佳。陈震宇率领团队,运用经常用于检测乳癌与甲状腺癌超音波弹性成像,用于子宫颈软硬度检查。

近3年内马偕医院分析339位孕妇第1孕期子宫颈超音波弹性成像,发现其中的24名曾子宫颈闭锁不全,其子宫颈硬度明显较软;比起量测子宫颈长度,这样的方式更能早期预测子宫颈闭锁不全。

陈震宇表示,超音波弹性成像未来可望用于子宫颈闭锁不全的早期辅助诊断,若检查出可能有风险,可在怀孕初期密切追踪,必要时予以黄体素或者採子宫颈缝合手术安胎,避免早产发生。(编辑:卞金峰)1101129

#马偕医院 #子宫颈 #子宫颈闭锁不全 #早产 #孕妇