阿根廷出现不明原因肺炎,当地卫生首长今天表示,本周已有3人因此死亡。
法新社报导,阿根廷图库曼省(Tucuman)卫生首长麦迪纳(Luis Medina Ruiz)告诉记者,位于西北部的图库曼省已有9人感染这种不明呼吸疾病,包括同一家私人诊所的8名医疗人员。
当局正在进行疾病检测,但麦迪纳说,他们已排除COVID-19(2019冠状病毒疾病)和A型、B型流感。
样本已送进布宜诺斯艾利斯(Buenos Aires)的马尔布兰研究所(Malbran Institute)。
8月29日出现首名死亡患者后,昨天又有一人死亡。第3名死者则是一名入住该私人诊所的70岁病患,麦迪纳表示,这名妇人可能是「零号病人,但还在评估当中」。
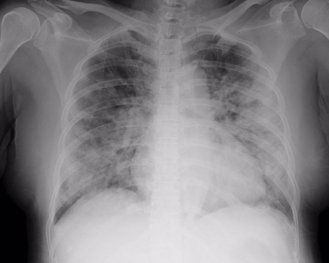
麦迪纳昨天表示,患者出现「严重呼吸系统疾病,出现双侧性肺炎(bilateral pneumonia)…跟COVID非常像」。
专家表示正在分析当地用水和空调,检查是否为中毒所致。麦迪纳则说也有可能是感染造成。
首批6名病患在8月18日至22日之间开始出现症状。最新的3起病例当中,有2人在医院接受治疗,1人在家接受病情监测。(译者:杨昭彦)1110902
发表意见
中时新闻网对留言系统使用者发布的文字、图片或檔案保有片面修改或移除的权利。当使用者使用本网站留言服务时,表示已详细阅读并完全了解,且同意配合下述规定:
违反上述规定者,中时新闻网有权删除留言,或者直接封锁帐号!请使用者在发言前,务必先阅读留言板规则,谢谢配合。