求刺激?男竟把椰子塞进肛门 医妙招取出「本尊」:膀胱会爆裂 @ChinaTimes

《中时新闻网》昨独家报导,高雄一名50多岁男子将1颗椰子塞进肛门,到义大医院挂急诊,医生经「剖腹」才取出,此事还登上国际期刊《英国医学期刊》,「当事椰子」今天曝光,是1颗直径7.5公分的绿壳椰子,也让网友惊呼「让世界看见台湾。」

医生剖开男子的直肠「拔出」这颗椰子。(图/陈致一医师提供)
医生剖开男子的直肠「拔出」这颗椰子。(图/陈致一医师提供)

义大医院一般医学外科主任、大肠直肠科主治医师陈致一日前受访时表示,曾收治一名50多岁男子,挂急诊称膀胱很涨、尿不出来,并称前一晚有塞东西到屁股,安排电脑断层,看到男子肛门里有颗圆型异物,卡到膀胱出口,致使男子无法解尿,膀胱也涨的如一颗橄榄球,里面有近2000C.C的尿液,后续问诊才知那颗圆形物体其实是一颗椰子。

陈致一称,他曾嚐试多种器械,也戴手套伸进男子肛门挖,但怎么夹、怎么挖,都无法取出这颗椰子,考量到时间再拖延去,男子膀胱可能爆破,直肠也可能因压迫过久坏死,决定替男子进行剖腹手术,最终成功将椰子取出。事后他将这起案例写成论文,登上《英国医学期刊》国际期刊。

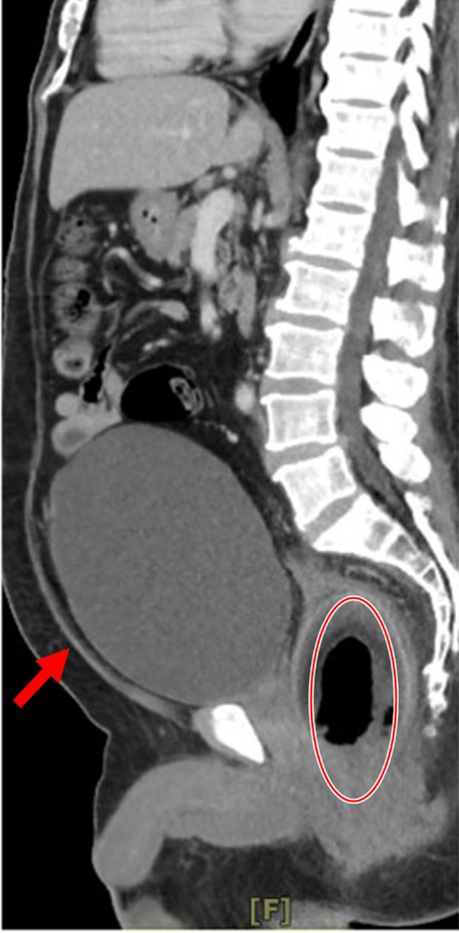
电脑断层检查影像中,可看到男子直肠内有一颗椰子(红圈处),堵住了膀胱的开口(红箭头处),导致膀胱涨尿到近2000C.C.,如一颗橄榄球,险些涨破。(图/陈致一医师提供)
电脑断层检查影像中,可看到男子直肠内有一颗椰子(红圈处),堵住了膀胱的开口(红箭头处),导致膀胱涨尿到近2000C.C.,如一颗橄榄球,险些涨破。(图/陈致一医师提供)

这起肛门塞椰子案例,引发批踢踢网友热议,有人说,「真会玩啊」、「肛门海纳百川,有菊乃大」、「一只手都伸得进去」、「连科幻作家都不敢轻易採取这样的设定」、「世界怎么跟得上台湾?」「医学奇蹟」、「直肠里真暖」、「让世界见台湾」,但也有人说「应该是去皮的椰子吧,不可能是绿色一整颗」。

对此,陈致一今再提供从男子肛门内取出的椰子照,证明确实是一颗带绿壳的椰子,大小为7.5公分乘以5.7公分乘以5.5 公分,陈致一指,当天手术时,他先剖开男子的肚子,先嚐试用挤压直肠方式,想取出卡在直肠里的椰子,但完全挤不动,只好再剖开男子的直肠,才顺利抱出这颗椰子。

至于男子是如何塞进这颗椰子?陈致一说,他有问,但男子没有答,所以至今还是一个谜。

#肛门异物 #椰子 #义大 #批踢踢 #肛门