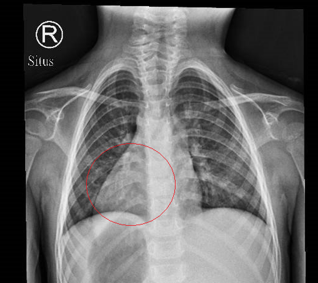
彰化一名3岁女童日前因发烧、咳嗽到部立彰化医院就医,小儿科主任马瑞杉看X光片确认女童罹患肺炎,但他从X光片意外发现,女童的心臟长在右侧,连其他内臟也都左右相反,是「完全性内臟异位」个案,即俗称的「镜面人」,发生机率小于万分之一。
马瑞杉今(26)日表示,替女童照X光片确诊是肺炎,马上要求住院,但让他吓一跳的是,女童的心臟左右调转,再经超音波等检查发现,其他内臟也全都左右异位,让他一度以为是影像上传错误。
马瑞杉说,一般人的肝臟在右上腹、脾臟在腹腔的左上方、胃在左上腹,但女童的肝臟和脾臟位置对调、胃在右上腹,而一般人在右下方的盲肠,女童则变成在左下方,其他如肺臟、大血管等位置也都左右对调。
马瑞杉表示,临床上器官转位主要分为2种,只有心臟在右侧,其他内臟器官位置正常,称为「右位心」,另一种是如女童这种罕见个案,被称为「完全性内臟异位」(situs inversus totalis),内臟全部左右相反,呈镜像样态,其机率小于万分之一。
马瑞杉指出,「完全性内臟异位」一般是隐性遗传造成,其发生先天性心臟病的机率较一般人略高,一般而言,在产检时可藉由高层次超音波发现,但临床上也出现过个案到了老年才发现内臟左右异位。
对此,女童的母亲表示,产检时有做高层次超音波,后来因妇产科诊所关门,她换了间诊所,都依之前的程序产检,也不知为何没被发现。她和丈夫双方家族都没这种病例,但她回想起怀孕初期高烧、身体起疹子,持续了1个月,检查不出病因,服退烧药及过敏药,也不知是不是药物影响到小孩。
女童母亲还说,女儿出生后至今,身体免疫力没有同龄小孩好,容易感冒生病,但活力还不错。马瑞杉说,一般而言,药物影响比较可能的是造成器官畸形,内臟左右异位应该不是药物造成。
发表意见
中时新闻网对留言系统使用者发布的文字、图片或檔案保有片面修改或移除的权利。当使用者使用本网站留言服务时,表示已详细阅读并完全了解,且同意配合下述规定:
违反上述规定者,中时新闻网有权删除留言,或者直接封锁帐号!请使用者在发言前,务必先阅读留言板规则,谢谢配合。