肺癌在癌症发生率及死亡率皆排名第一,为提高晚期肺癌病人存活率,健保署于2020年4月即开放健保给付第三代标靶药物「泰格莎」,给第四期肺腺癌病人二线使用,今年10月1日起将会扩大给付对象到肺腺癌3B期病人一线使用。苗栗县大千综合医院医疗副院长暨胸腔内科医师谢为忠表示,此项政策将可帮助更多晚期肺癌病人,大幅延长存活期并维持生活品质。
谢为忠进一步说明,由于超过半数的病人确诊肺癌时已是晚期,不适合手术治疗,因此死亡率较高。同时,过去的标靶药物都会有皮肤肿、起疹子、指甲发炎、甚至拉肚子等副作用,让病人不堪其扰。而第三代标靶药物「泰格莎」,不仅对于晚期肺癌有很好的治疗效果,提高存活率之外,副作用也大幅减轻,让病人可保有良好的生活品质。
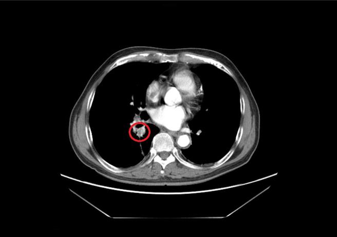
近年于大千接受肺癌治疗的病人中,谢为忠分享两个案例,第一位是80岁的男性,于2020年因胸闷、喘,从他院转至大千就医,经检查后为第四期肺腺癌。因肿瘤有EGFR的基因突变,因此申请使用泰格莎,治疗至今将近四年,其右下肺叶肿瘤从一开始的2.5公分,到现在缩小为1.3公分。另一位57岁的男性,于2022年因为慢性咳嗽2、3个月未痊癒,而到门诊就医,检查发现左上肺叶有一将近3公分的肿瘤,同样为肺腺癌第四期,且癌细胞侵犯到骨头、大血管及脑部,同时有EGFR的基因突变,在使用泰格莎治疗2年后,目前肿瘤已缩小至不到1公分。两位个案在治疗期间,每三个月需评估疗效是否稳定或进步,才能给付下一次的疗程,由于药物副作用较轻,日常作息仍可活动自如,甚至继续工作至退休,生活皆不受影响。
泰格莎药物对晚期肺癌病人的存活率及生活品质有绝对的帮助,谢为忠表示,只要符合资格的病人,我们都会主动协助向健保署事前申请使用,帮助病人能够获得与国际同水准的癌症药物治疗。大千是苗栗县唯一的癌症诊疗品质认证医院,不仅癌症新诊断数要每年要高于500人,医疗品质还要能通过国卫院评审委员的严谨考核。针对每一位癌症病人都是以多专科团队的照护模式,量身打造个人化的癌症治疗,让病人不须舟车劳顿,即能获得医学中心等级的癌症照护品质。
发表意见
中时新闻网对留言系统使用者发布的文字、图片或檔案保有片面修改或移除的权利。当使用者使用本网站留言服务时,表示已详细阅读并完全了解,且同意配合下述规定:
违反上述规定者,中时新闻网有权删除留言,或者直接封锁帐号!请使用者在发言前,务必先阅读留言板规则,谢谢配合。