随社会高龄化,失智症照顾与预防更重要。台中71岁黄阿嬷偶有时间感混乱、行走缓慢前兆,家人不以为意,但黄阿嬷近来频频「当机」,对外界刺激没有反应甚至晕厥送急诊,才发现罹患罕见「多发性系统萎缩症」。医师17日提醒,民眾若发现亲人出现短期记忆力下降且生活功能失常,需提高警觉。

亚洲大学附属医院神经内科主任吴致萤指出,多发性系统萎缩症是相对罕见的原发性脑部退化疾病,会有记忆力不佳、帕金森症状及明显自律神经失常等,其盛行率仅约莫10万分之2至5间。(亚大医院提供/潘虹恩台中传真)
亚洲大学附属医院神经内科主任吴致萤指出,多发性系统萎缩症是相对罕见的原发性脑部退化疾病,会有记忆力不佳、帕金森症状及明显自律神经失常等,其盛行率仅约莫10万分之2至5间。(亚大医院提供/潘虹恩台中传真)

亚洲大学附属医院神经内科主任吴致萤指出,失智症多数源自于脑部退化性疾病,但继发性因素混和参杂后,导致共同影响脑部功能亦非少见,「多发性系统萎缩症」就是其中之一,主要特徵为神经系统退化,如运动控制系统、自律神经系统、小脑平衡系统等。

吴致萤表示,多发性系统萎缩症是相对罕见的原发性脑部退化疾病,会有记忆力不佳、帕金森症状及明显自律神经失常等,其盛行率仅约莫10万分之2至5间,且无有效治疗药物,只能以症状治疗为主,例如以左旋多巴胺治疗帕金森症状,但效果并不持久。

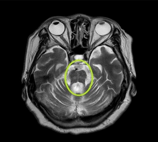
台中71岁黄阿嬷偶有时间感混乱、行走缓慢前兆,家人不以为意,但黄阿嬷近来对外界刺激没有反应甚至晕厥送急诊,才发现脑部核磁共振影像出现「热十字麵包徵候」,罹患罕见「多发性系统萎缩症」。(亚大医院提供/潘虹恩台中传真)
台中71岁黄阿嬷偶有时间感混乱、行走缓慢前兆,家人不以为意,但黄阿嬷近来对外界刺激没有反应甚至晕厥送急诊,才发现脑部核磁共振影像出现「热十字麵包徵候」,罹患罕见「多发性系统萎缩症」。(亚大医院提供/潘虹恩台中传真)

吴致萤说明,黄阿嬷有糖尿病,都稳定控制,此次急诊入院后,脑部电脑断层、心电图与抽血检验都无异常;收治住院观察发现,阿嬷卧姿时收缩血压常常界于180至200毫米水银柱间,阿嬷却毫无异常感受;经安排测量躺、坐、站不同血压检查,发现收缩压值由卧姿改变至站姿后竟下降超过40毫米水银柱且出现头昏感,远大于一般人血压下降不超过20毫米水银柱的范围。

此外,黄阿嬷的脑部核磁共振影像也发现脑干异常萎缩与出现独特的「热十字麵包徵候」,才怀疑罹患「多发性系统萎缩症」。经多补充水分、饮食增加盐分摄取和穿高腰的弹性袜等非药物治疗后,症状明显改善顺利出院,但也提醒家属务必多关心黄阿嬷日常生活。

吴致萤说,依据调查,65岁以上老年人,20人中就有1人罹患轻度以上的失智症,90岁以上更是接近3位中有1位罹病,若家属发现亲人有出现短期记忆力下降且生活功能逐渐失常,就需提高警觉。若合併出现其他非典型症状如动作障碍、癫痫或是直立昏厥、频尿、心律或血压波动大等自律神经失调症状,家属可主动告知医师,才有机会联想其他相对少见的失智病因的可能。

#失智症 #罕见疾病 #多发性系统萎缩症 #血压