台中慈濟醫院外科部主任余政展說明病人治療前(手指位置)後腫瘤變化。(台中慈濟醫院提供/王文吉台中傳真)
台中慈濟醫院外科部主任余政展說明病人治療前(手指位置)後腫瘤變化。(台中慈濟醫院提供/王文吉台中傳真)
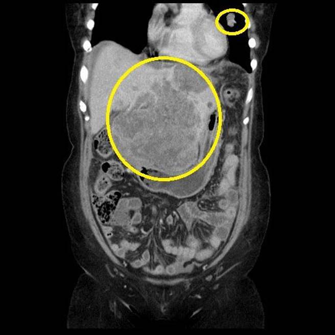
肝癌病患蔡婦術前電腦斷層,可見肝臟巨大腫瘤、散在性小顆腫瘤及上方肺部轉移病灶。(台中慈濟醫院提供/王文吉台中傳真)
肝癌病患蔡婦術前電腦斷層,可見肝臟巨大腫瘤、散在性小顆腫瘤及上方肺部轉移病灶。(台中慈濟醫院提供/王文吉台中傳真)
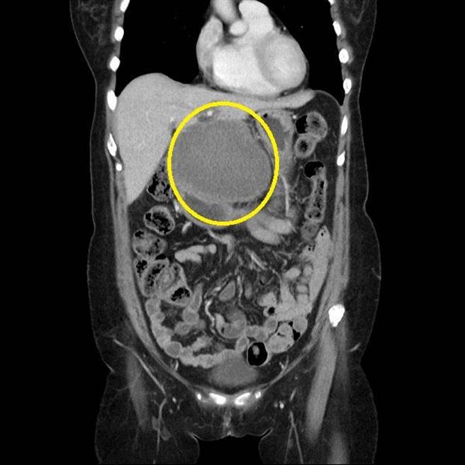
肝癌病患蔡婦術後電腦斷層,原本肝臟腫瘤已消散。(台中慈濟醫院提供/王文吉台中傳真)
肝癌病患蔡婦術後電腦斷層,原本肝臟腫瘤已消散。(台中慈濟醫院提供/王文吉台中傳真)

台中64歲蔡姓婦人肝臟腫瘤長到15公分,且已多發性擴散到肺部才就醫。醫師分析病況「若不治療,存活期只有4到6個月。」婦人接受免疫療法合併標靶治療,癌指數從數萬降到個位數,最後接受手術切除病灶。醫師呼籲,即使是癌症晚期的病人,仍不可輕言放棄。

蔡婦長期腹痛一直以為是胃痛,去年1月摸到肚子的硬塊就醫。台中慈濟醫院一般外科主任余政展觸診覺得不對勁,透過超音波看到巨大肝腫瘤,安排緊急檢查,病人才知道是罹患C肝進而引發肝腫瘤,再由電腦斷層確認肝腫瘤已擴散到肺部,有多發性肺轉移與肺動脈栓塞。

余政展指出,病人胎兒蛋白高達4萬多(ng/mL),肝腫瘤位置與大小不適合動刀手術。蔡婦接受免疫療法搭配標靶藥物治療,首次療程結束,胎兒蛋白已降到1萬6千多,持續治療年餘,指數降到個位數,肺部腫瘤也幾乎看不見,但腹腔仍殘餘10公分腫塊。

「要解決這種痛苦,還是得用手術方式解決。」余政展決定切除病人左肝剩餘腫瘤,術後病理報告出來,切下的肝臟及腫瘤幾乎找不到癌細胞。

余政展表示,癌症病人一般透過影像學查測量腫瘤大小變化來評估治療效果,這位病人則是少見的在治療後有機會切除病灶,病理報告確認沒有活的癌細胞,代表免疫療法加標靶治療對蔡女士控制效果非常好,腫瘤完全消失。

「她真的很幸運!」余政展表示,以往經驗顯示,複雜、晚期的癌症病人存活期平均只有4到6個月,而免疫療法目前整體的反應率是1到2成,有時搭配好的標靶藥物可提高到3到4成,雖然免疫加標靶治療並不是對每一個病人都能奏效,能看到好結果令醫護團隊十分振奮。

蔡婦的案例顯示,即使病情嚴重,治療過程藥物搭配手術還是可行的方向。余政展說,目前健保暫時沒有給付,如果經濟條件許可,不要輕言放棄;幸運並不見得能發生在每個人身上,與其等待幸運降臨,不如定期就醫檢查,才能避免千金難買早知道的憾事發生。

#治療 #病人 #腫瘤 #免疫 #標靶