花蓮年僅11個月大余姓男嬰體內長出2顆約1.5公分的腎結石,造成急性腎臟發炎,經花蓮慈濟醫院醫護團隊使用全院最小尺寸的腎臟鏡,以「經皮腎鏡取石手術」順利將腎結石夾出後,已康復出院。(花蓮慈濟醫院提供/羅亦晽花蓮傳真)
花蓮年僅11個月大余姓男嬰體內長出2顆約1.5公分的腎結石,造成急性腎臟發炎,經花蓮慈濟醫院醫護團隊使用全院最小尺寸的腎臟鏡,以「經皮腎鏡取石手術」順利將腎結石夾出後,已康復出院。(花蓮慈濟醫院提供/羅亦晽花蓮傳真)

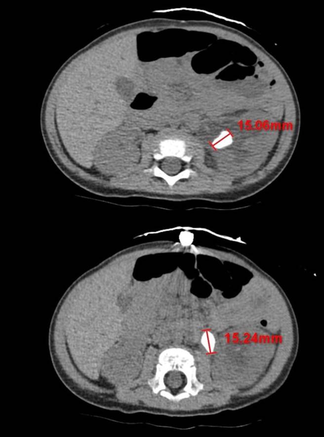
花蓮一名年僅11個月大余姓男嬰體內長出2顆約1.5公分的腎結石,造成急性腎臟發炎,由於男嬰輸尿管直徑僅0.1公分,尚未發育完全,即便儀器震碎石頭恐無法順利排出,經花蓮慈濟醫院醫護團隊使用全院最小尺寸的腎臟鏡,以「經皮腎鏡取石手術」順利將腎結石夾出,男嬰已康復出院。慈院表示,此次病例查找文獻資料十分罕見,是院史年紀最小的腎結石取出手術。

余姓男嬰今年3、4月曾因泌尿道感染發燒到其他醫院治療,透過藥物控制狀況,沒想到7月再度發燒,被家人送到花蓮慈濟醫院就醫且照腎臟超音波才發現其腎臟裡有2顆約1.5公分大的結石,其中1顆還堵在輸尿管與腎臟的銜接處,造成堵塞與腎水腫。

由於余姓男嬰年紀太小,其輸尿管直徑窄小僅約1公分,還未發育完全,即便石頭震碎也可能排不出去,且若未完全排出,留下部分殘屑在腎臟裡,日後恐因尿液留滯繼續在殘渣上結出新出的石頭,因此醫護團隊以「經皮腎鏡取石手術」取代常見取出腎結石的體外震波與利用逆行性的輸尿管取石法,取出腎結石。

醫護團隊先利用雷射將余姓男嬰體內的結石打碎,並在其背部開一個直徑約0.5公分的小孔,使用最小的腎臟鏡把石頭碎片夾出。慈院表示,最小尺寸的腎臟鏡較常用在10多歲國小或國中學童身上,0.5公分的傷口對一般人來說不大,但對嬰兒身體體積來說卻不小,所幸余姓男嬰術後至加護病房觀察無礙,很快就轉到普通病房,且未出現全身性感染等問題。

慈院小兒腎臟科主任陳明群指出,嬰幼兒發生泌尿道感染雖不少見,但不滿1歲的孩子有大顆腎結石卻不尋常,查找文獻資料也極少在年紀這麼小的孩子身上發現長這麼大顆的腎結石紀錄,因此如何將石頭順利拿出並取乾淨,對醫療團隊是種挑戰。

慈院泌尿部病房主任李政霖則說,在此之前曾遇過年紀最小的腎結石個案是小學生,且石頭較小顆,不需要特別手術處理,可靠喝水排出,所幸余姓男嬰經術後小兒部與泌尿部團隊的照顧,已恢復健康活力並順利出院。

此外,陳明群也分析余姓男嬰體內會出現腎結石原因,從檢驗數據中發現其尿鈣指數較高,較易形成結石,而其輸尿管功能的成熟度,或飲食的組成如食用過量蛋白質及過度鹽分攝取等,都會對尿液生成的環境產生影響。

李政霖也發現余姓男嬰除尿鈣問題,其體內還有一種細菌會使尿液「鹼化」,導致尿液pH值較一般人更偏鹼性,由於結石易在鹼性尿液中產生,這可能也是讓他不滿1歲就長出大顆結石的原因。

#花蓮 #慈濟醫院 #男嬰 #腎結石 #皮腎鏡