搜尋結果

以下是含有胃腸道基質瘤的搜尋結果,共10

  • HPV疫苗 國中男生也能免費打

    HPV疫苗 國中男生也能免費打

     衛福部公布9月新制,18歲至40歲乳癌、血液癌患者每人終生提供2次取卵療程或取精處置保存補助;HPV疫苗施打擴及國中男生。另健保署則公布收載多項新藥,包含晚期胃腸道基質瘤、血液癌、細菌性結膜炎,減輕病患經濟壓力。

  • 老婦胃部竟藏24cm腫瘤!初期症狀不明顯 醫籲做1事救命

    老婦胃部竟藏24cm腫瘤!初期症狀不明顯 醫籲做1事救命

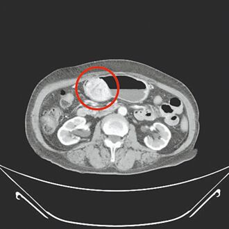
    苗栗一名81歲老婦,因持續數月有腹痛及消化不良症狀,而在家人陪同下到衛福部苗栗醫院肝膽腸胃科就醫。經醫師檢查發現其胃部罹患罕見的胃腸道基質瘤(GIST),且腫瘤直徑竟已達24公分。經部苗消化外科醫療團隊縝密安排下順利完成手術,成功切除腫瘤,為她的健康帶來了希望。

  • 胃腸道基質瘤合併膽結石 微創手術根除

    胃腸道基質瘤合併膽結石 微創手術根除

     一名七旬婦人3年前發現胃黏膜下有顆2公分的腫瘤,疑似胃腸道基質瘤,持續門診追蹤,近期發現腫瘤逐漸長大,2個月前上腹部悶痛、頭暈合併血便症狀,就醫檢查發現腫瘤已接近6公分,且膽囊被結石塞滿,沒有膽汁的空間,決定進行部分胃切除及膽囊切除手術。

  • 南優鉉罹癌康復 謝台粉支持

    南優鉉罹癌康復 謝台粉支持

     韓團INFINITE主唱南優鉉時隔8個月登寶島,5日在台大綜合體育館開唱,將最新巡演「植木日4」海外首場獻給台灣粉絲,向來嘴甜的他說:「今年是我們第二次見!你們真的那麼喜歡我嗎?其實是我更喜歡你,你一輩子都要當我的維他命!」接著又用歌名跟粉絲告白:「你要讓我成為你的Boyfriend(男友)嗎?」還連講4次,台下也一直高喊「要」來回應,互動熱絡。

  • 來台暖安慰生病粉絲!南優鉉「罹罕癌」曝近況:下次比誰更健康

    來台暖安慰生病粉絲!南優鉉「罹罕癌」曝近況:下次比誰更健康

    韓團INFINITE主唱南優鉉時隔8個月登寶島,今(5日)在台大綜合體育館開唱,將最新巡演「植木日4」海外首場獻給台灣粉絲,向來嘴甜的他說:「今年是我們第二次見!你們真的那麼喜歡我嗎?其實是我更喜歡你,你一輩子都要當我的維他命!」接著又用歌名〈Boyfriend〉跟粉絲告白:「你要讓我成為你的Boyfriend(男友)嗎?」還連講4次,台下也一直高喊「要」來回應,互動相當熱絡。

  • 內視鏡手術治癌症!林峰年獲譽肝膽腸胃科《醫龍》

    內視鏡手術治癌症!林峰年獲譽肝膽腸胃科《醫龍》

    三重宏仁醫院肝膽腸胃科主任林峰年醫師,曾赴日研修「內視鏡黏膜下剝離術」(ESD)手術,加上多年鑽研後已成為國內ESD專家,他專門收治其他醫院不願動刀的病患,以精準又細緻手法切除早期胃癌、大腸癌、食道癌等腫瘤,多次獲國際醫學期刊認可,更被譽為該領域的《醫龍》!

  • 東方神起出輯慶出道20年南優鉉明年登台開唱

    東方神起出輯慶出道20年南優鉉明年登台開唱

     韓國天團「東方神起」迎來出道20周年,以《202》為主題,在12月26日出道紀念日當天推出時隔5年的團體專輯,並企劃舉辦展覽和演唱會,不僅回顧過往20年間所有意義深遠的時間和紀錄,也展現允浩和昌珉2位成員即將書寫的全新旅程。

  • INFINITE南優鉉自曝罹罕見癌 大病初癒宣布2月來台開唱

    INFINITE南優鉉自曝罹罕見癌 大病初癒宣布2月來台開唱

    韓國男團INFINITE主唱南優鉉日前驚曝罹患罕見癌症「胃腸道基質瘤」(GIST),經醫師診療建議後,已於4月入院進行10小時的手術,並度過了術後無法正常飲食與心理低潮期,在親友及成員鼓勵下,才漸漸恢復體力與正常作息,向來把粉絲當作「家人」的他,今年已來台演出2次,都一直保密自己的身體不適,不過如今恢復狀況良好,他也宣布將於明年2月3日來台開唱。

  • 南優賢32歲罹惡性癌!醫:僅次大腸癌卻很少人認識

    南優賢32歲罹惡性癌!醫:僅次大腸癌卻很少人認識

    南韓團體INFINITE的32歲成員南優賢(南優鉉)近來受訪時透露,於今年發現罹患胃腸道基質瘤(GIST),並在4月底接受10多小時的開腹手術,術後歷經相當艱辛的康復過程。醫師指出,胃腸道基質瘤是好發在胃腸道的惡性腫瘤,為僅次於大腸癌、胃癌的消化道惡性腫瘤,卻很少被人認識。由於症狀不明顯,近半患者幾乎沒有症狀,有症狀者大多是因腫瘤已大到一個程度,若是晚期已轉移不能切除者,平均存活率僅約1年。

  • INFINITE南優賢32歲罹罕見癌症 手術前來台開唱:不想打破承諾

    INFINITE南優賢32歲罹罕見癌症 手術前來台開唱:不想打破承諾

    南韓團體INFINITE睽違5年以完整體回歸,讓粉絲非常感動,怎料卻爆出成員南優賢罹患罕見癌症「胃腸道基質瘤(GIST)」,而他在今年4月來台開唱後,同月底便進行了手術,但卻在休養不到一個月後又到澳門演出,對此,他也說:「不想因為自己打破與粉絲的承諾」。

回到頁首發表意見