搜尋結果

以下是含有杵狀指的搜尋結果,共12

  • 手腳5異常恐是癌「易骨折也中」  醫:被蛀空了

    手腳5異常恐是癌「易骨折也中」 醫:被蛀空了

    當手腳出現莫名腫塊、劇烈疼痛或異常血栓時,千萬別輕忽,這可能是癌症悄悄發出的警訊。醫師黃軒提醒,有些癌症會透過手腳異常表現出來,像是乳癌、攝護腺癌、肺癌、腎癌會出現骨頭轉移,有硬又腫塊不易推動的腫塊要小心;容易骨折,可能是骨質被腫瘤蛀空;杵狀指可能是肺癌警訊。 別忽視「單邊」變化:

  • 手指出現1變化他嚇壞 急奔醫院檢查 竟確診肺癌

    手指出現1變化他嚇壞 急奔醫院檢查 竟確診肺癌

    蘇格蘭一名健身教練布萊恩發現手指末端異常腫脹,外觀如同鼓棒,上網查詢後懷疑自己出現「杵狀指」,急到醫院檢查,竟確診肺癌,但當時並無其他典型肺癌症狀,所幸及早發現並接受手術治療,目前病情已穩定。

  • 60歲男愛泡溫泉 友提醒「胸部1變化」醫:得肝硬化了

    60歲男愛泡溫泉 友提醒「胸部1變化」醫:得肝硬化了

    肝臟若出狀況,皮膚外觀變化可能先反映?醫師趙昭明指出,有一名60歲的商人平常愛泡溫泉,在友人多次提醒後發現自己右胸變大、乳暈明顯,就醫後才發現是肝硬化。

  • 久咳不癒以為肺炎!50歲竟是罹患1疾病

    久咳不癒以為肺炎!50歲竟是罹患1疾病

    新北市土城醫院今(27)日發布新聞稿,提醒患常見自體免疫疾病如類風濕性關節炎、乾燥症等疾病的民眾,若出現久咳不癒等症狀,要注意是否為疾病所引起的「結締組織疾病相關間質性肺病」,常有患者誤以爲是一般肺炎而措施治療最佳時機。

  • 肺部肺結節滿天星!蘇一峰頭皮發麻:「手指1狀況」記得檢查

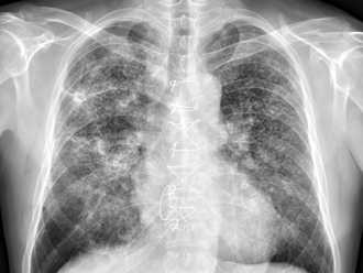
    肺部肺結節滿天星!蘇一峰頭皮發麻:「手指1狀況」記得檢查

    有時身體健康出問題,可能會透過明顯異狀表現出來。胸腔科醫師蘇一峰今(24)日分享,有位40歲不抽菸男子喘了好幾個月,就醫時他發現男子有明顯的杵狀指症狀,「幾乎十指手指都是杵狀指」,照了X光更不得了,「成千上萬顆肺結節,讓密集恐懼症的人頭皮發麻」,貼文曝光後引發熱議。

  • 咳、喘就醫!X光一照肺癌加積水  婦拒住院:不能沒工作

    咳、喘就醫!X光一照肺癌加積水 婦拒住院:不能沒工作

    肺癌是國人頭號癌症殺手。胸腔內科醫師蘇一峰分享有名50歲婦人,因咳喘就醫,他檢查後認為婦人極可能罹患肺癌,要她快住院治療,婦人卻以請假恐會失業而拒絕,強調「家裡不能沒有這個工作」,看到這名生命已在倒數的婦人,仍在為生計打拚,讓他眼淚都快落下來。

  • 常喘以為太胖 一查肺功能只剩40% 醫嘆1動作忽略了

    常喘以為太胖 一查肺功能只剩40% 醫嘆1動作忽略了

    一名40歲女子經常感覺喘,一直認為是體態較豐腴所致,直到某次不舒服被送到急診,經檢查發現肺功能竟只剩下40%。事後探究罹病原因才知道,原來對方不管在工作或煮菜時,都沒有戴口罩的習慣,長久下來導致肺部纖維化,而這種損傷是不可逆的。

  • 「菜瓜布肺」致命性高 醫曝好發的年齡與族群

    「菜瓜布肺」致命性高 醫曝好發的年齡與族群

    特發性肺纖維化俗稱「菜瓜布肺」,具高致命性,5年存活率為34%,僅次於肺癌,好發於年高齡、男性族群;若手指末端圓胖如鼓棒,形成「杵狀指」,極有可能確診。台東馬偕醫院胸腔內科醫師伍國綸示警,台東地區恐有大量隱藏患者,呼籲及早發現,及早治療。

  • 「菜瓜布肺」比癌症奪命 3症狀超常見 醫點名6類人當心

    「菜瓜布肺」比癌症奪命 3症狀超常見 醫點名6類人當心

    咳嗽是感冒常見症狀,但如果出現久咳、喘、累持續8周以上,要當心肺部像菜瓜布的「肺纖維化」,醫師示警若沒有早期發現治療,5年存活率比許多癌症還低;提醒50歲以上男性、有吸菸史、肺纖維化家族病史、長期胃食道逆流、曾暴露於高粉塵環境以及自體免疫疾病患者都是高危險群,若出現症狀應盡速就醫檢查。

  • 不菸無家族史卻罹肺癌 30歲護理師訝異:完全沒感覺

    不菸無家族史卻罹肺癌 30歲護理師訝異:完全沒感覺

    一名30歲女護理師從不抽菸,也沒肺癌家族病史,但在某次健檢發現有一處需後續追蹤的毛玻璃結節,隔年再追蹤回檢,該病灶竟快速長大約去年2大小,進一步切片檢查,最終確診為肺癌。對於這樣的結果,該患者表示相當訝異,因從發現到確認罹癌期間,完全沒有出現任何不適症狀。

  • 指甲3變化看身體狀態!1現象恐是肺癌警訊

    指甲3變化看身體狀態!1現象恐是肺癌警訊

    指甲的細微改變值得多加重視,小細節也能反映出身體的狀況。對此,敏盛綜合醫院微創手術中心執行長陳榮堅指出3種指甲變化,包括杵狀指、湯匙甲以及指甲有黑線,分別可能代表著不同的健康問題。其中他提到,杵狀指會導致指頭後端如棒槌般腫大,可能出現在肺癌或心肺功能差的人身上,不可不慎。

  • 指甲出現豎紋慘了?醫曝答案 外觀有2狀況要小心

    指甲出現豎紋慘了?醫曝答案 外觀有2狀況要小心

    指甲可以看出身體狀況!家醫科醫師李思賢分享,太凸或是太扁的指甲恐意味著身體有狀況,首先太凸的指甲可能是指甲末端的氧氣不足,引起原因大多是肺部與心臟方面的問題;太扁的指甲則是缺鐵,可能有慢性出血、癌症或腸道問題。而指甲出現豎紋反而不用太擔心,只是老了。

回到頁首發表意見