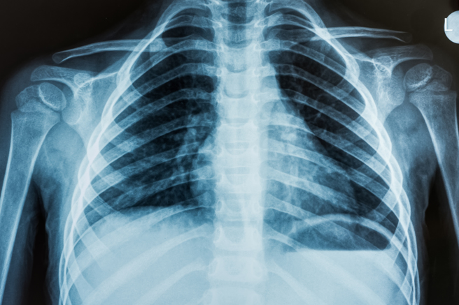
巴西一名患者咳嗽数个月,状况都没有好转,近期到医院就诊,没想到医师检查发现,他的体内竟全都是寄生虫,X光照出数百个白点,看起来像白芝麻,其实是虫卵的钙化残壳,画面让人看了非常惊悚,在网路上引发讨论。
根据《每日邮报》报导,巴西圣保罗州博图卡图(Botucatu)住院医生维克多(Vitor Borin de Souza)日前在推特分享一张X光照,照片中可见患者体内全是白点,原来他感染囊虫病(cysticercosis),是由猪肉絛虫(Taenia solium)幼体所引发的病症,通常是吃了不乾净的食物而摄入虫卵。
维克多表示,只要患者的头部、脊髓或眼睛没有引起感染,大多数情况下,患者都不需要接受特别治疗,照片中白点其实是幼虫钙化的包囊,「牠们不是有活动力的幼虫,如果并未造成身体不适,也无须治疗或处理,生活可以继续过下去」。
维克多进一步说明,寄生虫若跑到脑部,会引起头痛及癫痫,甚至是头晕、脑积水等症状,如果不及时治疗可能会致命,这种情况下通常需动手术切除,若抵达眼部,会导致视力模糊并感染,为了慎重起见,该名患者已被安排接受头部MRI检查。
发表意见
中时新闻网对留言系统使用者发布的文字、图片或檔案保有片面修改或移除的权利。当使用者使用本网站留言服务时,表示已详细阅读并完全了解,且同意配合下述规定:
违反上述规定者,中时新闻网有权删除留言,或者直接封锁帐号!请使用者在发言前,务必先阅读留言板规则,谢谢配合。