印度一名男子因为认为硬币中含有「锌」,有助于健身,于是吞下大量的硬币,再用磁铁将硬币固定在体内,以利吸收更多的锌,没想到反而导致他呕吐、腹痛20多天,在家人的陪同下到医院急诊室检查、治疗,最终透过手术顺利取出男子体内的39枚硬币和37块磁铁。
根据印度媒体报导,印度一名26岁男子患有精神疾病,认为锌有助于健身,所以吞下含有锌的硬币,再吞下磁铁让硬币留在肠道中,以吸收更多的锌,结果反而经歷了20多天的呕吐、腹痛,且没办法吃任何东西,最后只能到位于德里的干加拉姆爵士医院(Sir Ganga Ram Hospital)的急诊就医。
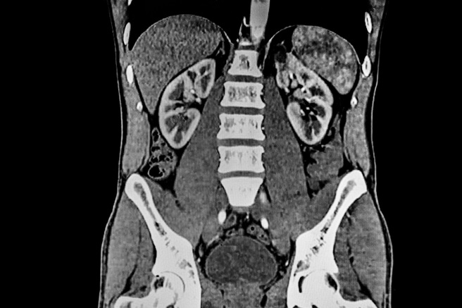
经过电脑断层扫描的结果显示,男子的肠道堆了大量的硬币与磁铁,造成肠阻塞,于是紧急安排手术,手术过程中,医师发现磁体和硬币已经将小肠的不同环道吸在一起,磁力导致它们黏附,肠壁也因此遭到侵蚀。
最终在医师「开肠剖肚」之下,成功取出39枚硬币和37块磁铁,并透过X光检查,确认肠胃中所有异物已经清除乾净,手术后男子恢復状况良好,住院观察7天后便可出院,只是后续仍需接受精神疾病的治疗;而医生则透过这起案例提醒大眾,吞食异物可能致死,千万不要拿自己的生命开玩笑。
发表意见
中时新闻网对留言系统使用者发布的文字、图片或檔案保有片面修改或移除的权利。当使用者使用本网站留言服务时,表示已详细阅读并完全了解,且同意配合下述规定:
违反上述规定者,中时新闻网有权删除留言,或者直接封锁帐号!请使用者在发言前,务必先阅读留言板规则,谢谢配合。