中国附医心臟血管系周边血管科主任医师徐中和说,接种疫苗后5到30天发生不适状况,应儘速就医。(中国附医提供/张妍溱台中传真)
中国附医心臟血管系周边血管科主任医师徐中和说,接种疫苗后5到30天发生不适状况,应儘速就医。(中国附医提供/张妍溱台中传真)

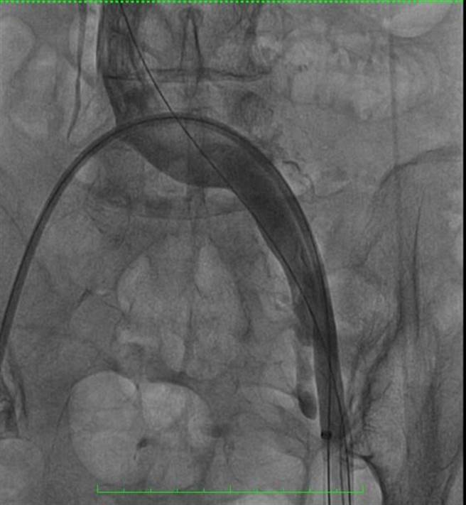
近来民眾对打疫苗是否引发血栓引发疑虑,中国附医心臟血管系周边血管科主任医师徐中和说,接种后5到30天发生不适状况,应儘速就医;85岁李姓阿嬷,有高血压、肝脓疡,6月施打新冠疫苗,发生左腿肿胀,隔月腹痛急诊检查发现左侧髂静脉以及股静脉大范围血栓,院方启动溶栓小组,透过抽吸血栓机器将血栓全数移除,挽回一命。

徐中和表示,患者下肢左侧髂静脉以及股静脉大范围血栓,所幸及时就医,否则3到5成机率血栓跑到肺部,恐造成致命的肺动脉栓塞。血栓是否由疫苗引起?徐说,还要验抗血小板第四抗体是否阳性才知相关性。

徐中和指出,患者血栓指数(D-dimer)高达2118ng/mL(正常值小于500),于住院期间顺利接受胆结石手术治疗后,及导管溶栓治疗,血管摄影发现左侧髂静脉以及左股静脉大范围血栓,经过Aspirex机械性静脉血栓抽吸导管将血栓顺利取出后,血管摄影发现左侧髂静脉以及左股静脉血流通畅,之后服用新型口服抗凝血剂,逐渐恢復健康。

徐中和说,疫苗引发血栓之免疫性血小板过低症Vaccine-Induced Immune Thrombotic Thrombocytopenia(VITT),是接种AstraZeneca疫苗后发生的免疫併发症,症状包括,持续性和严重头痛,四肢无力,癫痫(颅内血管血栓);视力模糊(视网膜动静脉血栓);呼吸急促或胸痛(肺栓塞或冠状动脉栓塞);腹痛(门脉血栓);肢体肿胀,发红,苍白或发冷(周边动静脉血栓);皮肤出血瘀青。

针对国际上很多报导打新冠肺炎疫苗之后发生血栓的案例,甚至有打完疫苗后,发生严重肺栓塞致死的案例,让许多专家疾呼要赶紧设立肺栓塞因应小组,徐中和表示,中国附医在8年前设立的24小时运作的急性溶栓治疗团队,包括「肺栓塞因应小组」,有使用超过500次的EKOS超音波震碎血栓导管治疗经验。

#血栓 #中和 #左侧 #髂静脉 #静脉