本土疫情遍地烽火,新光医院急诊科主任张志华表示,一名老太太未打过新冠疫苗,确诊后肺部呈现一片白,令他忍不住想起去年5月爆发的Alpha疫情时的情景,呼吁还没打疫苗或未打满3剂的长者,加速施打预防重症。
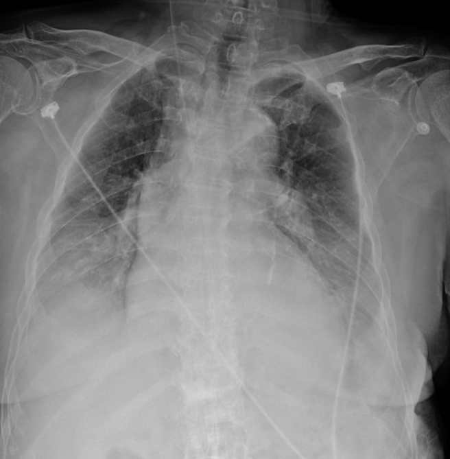
张志华上周六(21日)于个人脸书指出,一名PCR筛检为阳性确诊的老太太,没有打过任一剂新冠疫苗,院方安排照肺部X光,发现呈现一片白色,令他忍不住说,「挺吓人的,像极了去年5月爆发的Alpha疫情。」
张志华说,去年5月爆发的疫情,当时疫苗不足,许多人未打疫苗确诊后,X光检查肺部整片发白,有纤维化现象,张志华呼吁,没打疫苗或未打满3剂疫苗的长者,尽快打疫苗预防重症。
贴文曝光后,引发网友讨论,「想想还好去年五月有守下来」、「这肺部X光片感觉烟雾弥漫,好像谁在抽烟」;留言中也有人好奇老太太是否有慢性病史及实际年龄,不过张志华并没有进一步说明。
发表意见
中时新闻网对留言系统使用者发布的文字、图片或檔案保有片面修改或移除的权利。当使用者使用本网站留言服务时,表示已详细阅读并完全了解,且同意配合下述规定:
违反上述规定者,中时新闻网有权删除留言,或者直接封锁帐号!请使用者在发言前,务必先阅读留言板规则,谢谢配合。