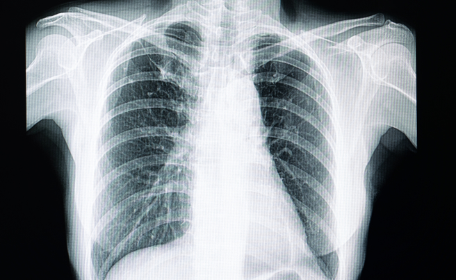
胸腔科医师苏一峰分享,一名60多岁的女患者去年检查出1颗肺结节,今年却暴增成10颗,电脑断层的结果如同「满天星」,仔细询问才知道,患者看到近期有各种病毒肆虐,经常在密闭空间或车上狂喷漂白水或酒精消毒,长期下来使她出现胸闷、想咳嗽的症状,这是因为过量的消毒液挥发有「肺呼吸道毒性」,提醒民眾使用消毒液要保持环境通风。
苏一峰昨在脸书上分享,一名60多岁的女患者去年检查出1颗肺结节,之后一直定期检查追踪,没想到今年做电脑断层却发现,本来只有1颗肺结节竟变成「满天星」,有多达10颗肺结节,让医师看了直摇头,表示可能需要开刀处置。
苏一峰表示,肺结节大增是因为生活习惯错误,这位60多岁的患者带着检查资料来找他,经过一番询问才知道,患者见最近有许多病毒肆虐,常在浴室调制漂白水消毒,但调制过程中,门窗紧闭、不通风;且在车上等密闭空间也经常狂喷酒精消毒,结果到最后竟出现胸闷、想咳嗽的症状。
苏一峰指出,过量消毒液挥发具有「肺呼吸道毒性」,恐让肺部发炎,出现「满天星」的肺结节,而满天星的肺结节找到原因就可以处理,他马上卫教病人正确的消毒观念,并给予适当的消炎药物。
贴文引起网友讨论,「不管是防疫还是消毒,通风都是必要的,尤其通风对降低室内病毒浓度的效果很重要」、「密闭空间喷太多消毒液,真的很呛鼻,甚至还会头晕」、「观念不对,狂喷漂白水跟酒精造成的反效果」。
发表意见
中时新闻网对留言系统使用者发布的文字、图片或檔案保有片面修改或移除的权利。当使用者使用本网站留言服务时,表示已详细阅读并完全了解,且同意配合下述规定:
违反上述规定者,中时新闻网有权删除留言,或者直接封锁帐号!请使用者在发言前,务必先阅读留言板规则,谢谢配合。