不少业者在贩售电子烟时,都会强调跟传统纸菸相比少了燃烧后产生的致癌物,相对来说可以减害,但胸腔科医师苏一峰分享近日遇到的病例,透露有年仅20岁的年轻女性因为抽电子烟导致肺炎,症状严重到狂咳血,提醒想要肺部健康就应远离所有菸(烟)品。
苏一峰今(28)日在脸书表示,最近有两位患者因为抽电子烟染上肺炎,一位是20岁的台湾年轻女性,另一位则是远从香港特地跨海来求医的病人。
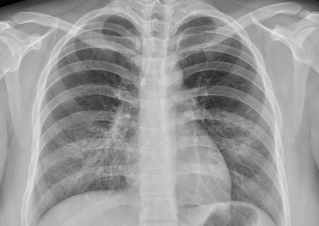
苏一峰指出,这位台湾女病患的症状较严重,年纪轻轻就出现咳血的情形,X光也明显呈现「毛玻璃肺炎」,感觉已经感染肺炎一阵子了。
苏一峰强调,这两位患者平常完全不抽传统香菸,而是抽有品牌的电子烟,但依然把身体给抽坏掉,提醒「肺部要健康就要远离任何菸品,包含传统香菸与电子烟」。
★《中时新闻网》:吸菸有害健康 中时新闻网关心您!戒菸专线:0800-636363
发表意见
中时新闻网对留言系统使用者发布的文字、图片或檔案保有片面修改或移除的权利。当使用者使用本网站留言服务时,表示已详细阅读并完全了解,且同意配合下述规定:
违反上述规定者,中时新闻网有权删除留言,或者直接封锁帐号!请使用者在发言前,务必先阅读留言板规则,谢谢配合。