台中80多歲老婦人,年初曾嘴角長水泡診斷為皰疹感染,3月又因臉歪嘴斜、說話口齒不清,一度診斷為暫時性腦缺血,經治療後又不明原因發生癲癇,再進一步檢查後確診為第一型單純皰疹病毒感染,所幸經藥物治療後,婦人恢復狀況良好,也能簡單溝通,讓其家屬感到欣慰。
8旬婦人今年初就醫被診斷為皰疹感染,3月又因臉歪嘴斜、說話口齒不清,一度診斷為暫時性腦缺血,經腦部電腦斷層無特殊異常發現,在藥物治療後症狀緩解,出院後1周病人感覺不適、意識改變、不明原因發生癲癇,立即送醫,收治衛生福利部豐原醫院神經外科加護病房進行插管治療。
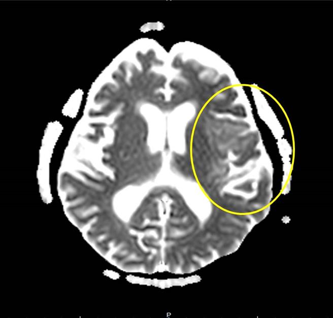
醫師也為婦人安排腦部核磁共振檢查,結果診斷為腦炎及腰椎穿刺檢查採集腦脊髓液送檢驗,檢驗結果為第一型單純皰疹病毒感染,會同感染科主任黃駟榮使用抗病毒藥物治療,治療後病人從意識昏迷、無法溝通,恢復到可以做簡單溝通。
衛生福利部豐原醫院感染科主任黃駟榮表示,腦炎病因有病毒、細菌、真菌、寄生蟲等,病毒占大多數,而單純疱疹病毒又占病毒性腦炎的多數,在免疫力較差的情況下,原本發生在身體其他部位的病毒感染,可能經由血液將病毒擴散至腦部而引發腦炎,如治療不及時會造成死亡率高,存活後易有神經相關後遺症,例如意識不清、癲癇、實質性的腦部損傷等。
黃駟榮說,提醒民眾保持免疫力在理想狀態,包括生活習慣,如不要熬夜、避免工作壓力大,有疾病者像是糖尿病、自體免疫疾病或是接受腫瘤化療患者,就需要先控制本身疾病,降低風險,如有症狀發生經治療皆未改善,須提高警覺,透過必要檢查來進行正確診斷,盡早接受治療。
發表意見
中時新聞網對留言系統使用者發布的文字、圖片或檔案保有片面修改或移除的權利。當使用者使用本網站留言服務時,表示已詳細閱讀並完全了解,且同意配合下述規定:
違反上述規定者,中時新聞網有權刪除留言,或者直接封鎖帳號!請使用者在發言前,務必先閱讀留言板規則,謝謝配合。