以下是含有塵肺症的搜尋結果,共05筆
針對民國73年海山煤礦等3礦區災變,監委葉大華、賴鼎銘提出調查報告表示,該真相調查報告長達40年未主動公布、各界捐輸善款之管理作業核有欠妥、權責機關也未主動對礦工遺孀等進行訪視或關懷,監察院調查促請行政院督同相關部會及新北市政府確實研處改進。
老家有台電唱機,擺在架子最上層。曲盤轉動,放上唱頭,音樂隨之流洩。屘叔老愛播放一首節奏輕快的台語歌,跟著哼唱,一人分飾男女兩角。
1984年當年接連發生海山、煤山及海一重大礦災,造成百餘人死亡,輔仁大學社會系戴伯芬等團體發起「礦工命也是命」活動,6日呼籲公布礦災原因調查報告、公布善款使用、專案提供礦工支持,老礦工也現身說法表示,好不容易礦工之子當總統,呼籲高官應來看看目前礦工生活、聆聽礦工心聲。
根據衛福部統計,去年共6497人確診結核病,其中台北市占535人,考量高風險族群發病風險為一般人1至25倍,台北市衛生局18日宣布推動「高風險族群篩檢與及早治療」,新住民、愛滋感染者共7類高風險族群可免費到北市22家合作醫院篩檢,完成後即可獲得200元商品禮券。
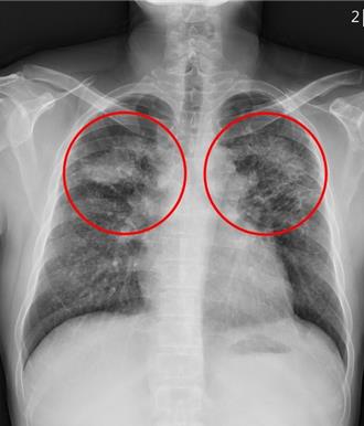
花蓮一名黃先生年輕時曾有近10年的磨石工作經驗,後雖離開該行業,未料44歲自影像檢查中發現肺部有大塊陰影,確診塵肺症導致的肺部纖維化,醫師表示,矽肺症不僅不可逆,還將會持續惡化,沒有特效藥,呼籲從事石材業者工作期間務必使用工業級防護口罩或面罩,「預防勝於治療」。