花蓮一名黃先生年輕時曾有近10年的磨石工作經驗,後雖離開該行業,未料44歲自影像檢查中發現肺部有大塊陰影,確診塵肺症導致的肺部纖維化,醫師表示,矽肺症不僅不可逆,還將會持續惡化,沒有特效藥,呼籲從事石材業者工作期間務必使用工業級防護口罩或面罩,「預防勝於治療」。
勞動部職安署、職業災害預防及重建中心、環境職業醫學會,聯合各地職業傷病診治專責醫院,進行人造石產業暴露危害與健康風險調查,其中,花蓮慈濟醫院去年底具出相關報告,顯示人造石矽肺症有年輕化及病程發展迅速的現象。
慈院胸腔內科醫師劉迪塑指出,矽肺症是塵肺症的一種,常見於人造石工業環境,工人因防護措施不完備,不慎將二氧化矽粉塵吸入肺部,粉塵沉積肺泡中,導致肺部慢性發炎和纖維化,使肺部彈性變差、氣體交換功能受損,常伴隨咳嗽、呼吸困難、運動不耐受等症狀。
不過並非所有粉塵吸入肺部都可能導致塵肺症,劉迪塑表示,通常10微米以上的粒子進入呼吸道前會被鼻毛阻擋,若粉塵小於5微米,就可能被吸到肺部最遠端,甚至進入肺泡裡;一旦進到肺泡,這些微小的粉塵粒子就無法被人體代謝或排出,會被肺泡中的巨噬細胞吞噬,最終進入淋巴系統,持續造成肺泡慢性發炎和纖維化。
劉迪塑接著說,矽肺症屬不可逆的吸入性肺部疾病,即便病人停止暴露在粉塵環境裡,病程仍會持續進展,曾有名黃姓患者21歲至30歲從事磨石工作,後續雖離開此行業,卻在44歲時從影像檢查中發現肺部有大塊陰影,後續確診為塵肺症導致的肺部纖維化。
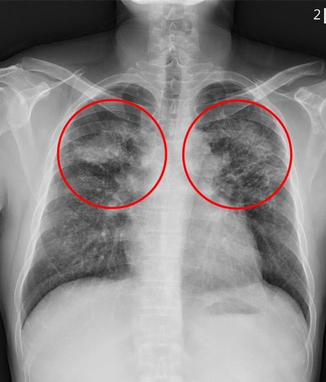
「矽肺症最可怕的是,一旦患上,不僅不可逆還將會持續惡化,且沒有特效藥」劉迪塑說,吸入的粉塵大多沉積在上肺葉,因發炎反應和局部纖維化,產生許多間質性結節,嚴重時甚至會發展為漸進性大量纖維化,在雙上肺葉形成對稱腫塊,臨床上需和惡性腫瘤或結核病的腫塊或結節做鑒別診斷。
劉迪塑指出,一般大理岩或花崗岩的開採,因環境中二氧化矽濃度可能介於2%到40%間,吸入粉塵後所致的矽肺症多以慢性為主,經常需長達10至20年的暴露才會使肺部出現一定程度的纖維化,但人造石工程中,二氧化矽濃度可能達到97%,即便吸入粉塵時間短,因暴露濃度高,致病風險遠高於普通砂石開採,在臨床上的症狀通常屬於急性。
「預防勝於治療!」劉迪塑表示,矽肺症通常為職業暴露災害,呼籲相關從業者工作時務必使用工業級防護口罩或面罩,避免直接將粉塵吸入肺部,並注意場所通風系統是否完備,並建議矽肺症病患施打流感疫苗及肺炎鏈球菌疫苗,避免肺部感染造成疾病惡化。
發表意見
中時新聞網對留言系統使用者發布的文字、圖片或檔案保有片面修改或移除的權利。當使用者使用本網站留言服務時,表示已詳細閱讀並完全了解,且同意配合下述規定:
違反上述規定者,中時新聞網有權刪除留言,或者直接封鎖帳號!請使用者在發言前,務必先閱讀留言板規則,謝謝配合。