医师表示,发现1岁以下婴儿异物梗塞,可先利用「捶背压胸法」。若还是没有咳出异物,再将婴儿翻回正面,用单手食指与中指按压胸骨中央5下,深度约半吋到1吋深,直到婴儿恢復自行呼吸。(中国医药大学儿童医院提供)
医师表示,发现1岁以下婴儿异物梗塞,可先利用「捶背压胸法」。若还是没有咳出异物,再将婴儿翻回正面,用单手食指与中指按压胸骨中央5下,深度约半吋到1吋深,直到婴儿恢復自行呼吸。(中国医药大学儿童医院提供)
「水晶宝宝」的成分属于丙烯酸高分子聚合物,具有强力吸水性,若不幸吸入,因其吸收气管黏膜分泌物,体积更加膨胀而堵住呼吸道,不易自行咳出。(中国医药大学儿童医院提供)
「水晶宝宝」的成分属于丙烯酸高分子聚合物,具有强力吸水性,若不幸吸入,因其吸收气管黏膜分泌物,体积更加膨胀而堵住呼吸道,不易自行咳出。(中国医药大学儿童医院提供)

防疫三级警戒,全国停课停托,父母亲照顾幼娃可要小心小朋友误食异物;中国医药大学儿童医院3月间收治一名1岁多男娃疑因误食俗称「水晶宝宝」之丙烯酸高分子聚合物呛到卡住气管,突然呼吸困难、嘴唇发紫,经转送到该院紧急进行支气管镜手术取出异物,化解男童可能脑缺氧致死的危机;医师也呼吁家长照顾幼童一定要将孩子可能误食的异物收拾好。

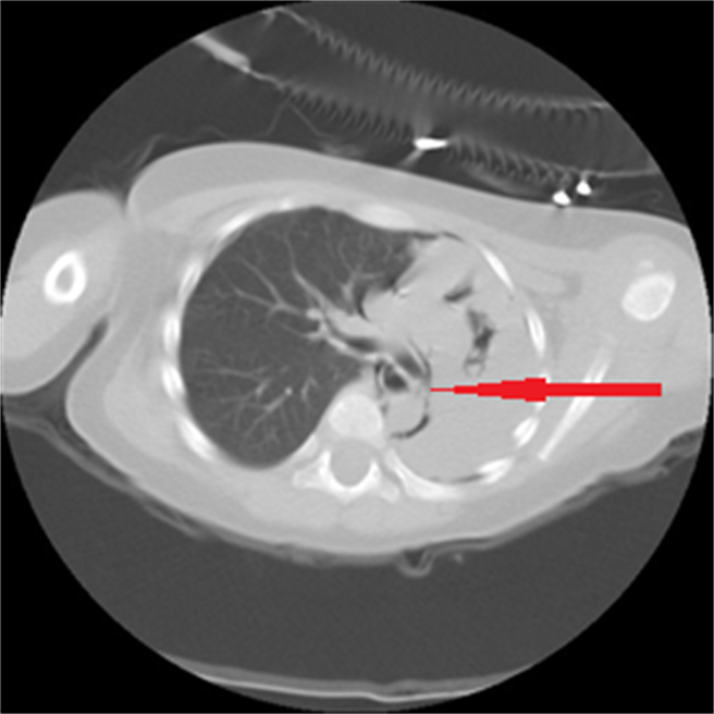
这名男童被家属紧急送往当地医院急诊室血氧浓度只有70%,先紧急插管处罝,胸部X光检查结果为左肺全塌陷合併严重纵膈腔漏气及皮下气肿,胸部电脑断层检查结果为主气管与左支气管交接处有异物,经胸部电脑断层检查结果为气管有异物,因而再转诊到中国医药大学儿童医院。

中国医药大学儿童医院儿童胸腔科团队在接获通知后,立即进行支气管镜手术,于廿分钟内顺利地以软式支气管镜取出卡住阻塞左支气管黄色异物,男娃于术后恢復情形良好,意识正常并于三日后出院。

经化验分析及家属住家探勘后,发现是「水晶宝宝」。医师研判男童可能是出自好奇心,误食国小哥哥的美劳材料,但可能因口感不佳,哭闹时呛入呼吸道。

执行支气管镜手术的儿童胸腔科陈杰贺主治医师表示,突然间的剧烈咳嗽、呼吸急促、喘鸣及发绀,是异物梗塞造成急性气道阻塞最常见的病徵,若未能及时畅通呼吸道,严重者会导致脑部缺氧性脑病变甚至死亡等憾事。

陈杰贺也提醒,两岁以下幼儿因为吞咽咀嚼功能尚在发育训练阶段,是异物梗塞的高危险族群。常见的呼吸道异物包括软糖、果冻、坚果、水果籽、硬币及钮扣等物品。

相较常见误食之异物,「水晶宝宝」的成分属于丙烯酸高分子聚合物,具有强力吸水性,若不幸吸入,因其吸收气管黏膜分泌物,体积更加膨胀而堵住呼吸道,不易自行咳出。国内也曾有误食水晶宝宝卡住小肠造成严重肠阻塞需紧急手术之案例。家中若有学龄前儿童,应避免存放此类物品,以免造成憾事。

#异物 #误食 #水晶宝宝 #中国医药大学儿童医院 #支气管镜