肿瘤电热治疗进行头颈癌治疗(非个案本人)。(童综合医院提供/陈淑娥台中传真)
肿瘤电热治疗进行头颈癌治疗(非个案本人)。(童综合医院提供/陈淑娥台中传真)
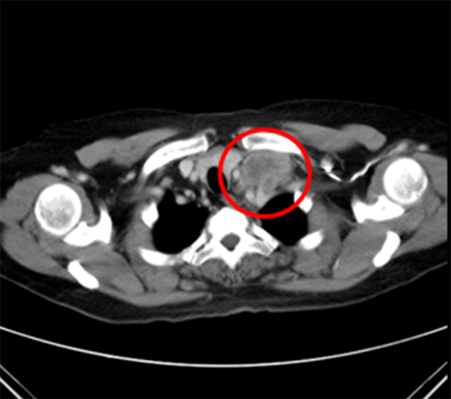
治疗前,颈部肿瘤5x3公分。(童综合医院提供/陈淑娥台中传真)
治疗前,颈部肿瘤5x3公分。(童综合医院提供/陈淑娥台中传真)
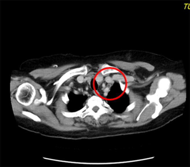
治疗后,颈部肿瘤2x1公分。(童综合医院提供/陈淑娥台中传真)
治疗后,颈部肿瘤2x1公分。(童综合医院提供/陈淑娥台中传真)
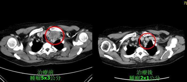
治疗前后比较图。(童综合医院提供/陈淑娥台中传真)
治疗前后比较图。(童综合医院提供/陈淑娥台中传真)

58岁萧姓病人7年前罹患子宫颈癌第四期,进行放射线治疗33次与化疗6次,稳定控制癌细胞,但去年癌细胞转移到颈部,童综合医院血液肿瘤科沈俊佑主任建议採行化学治疗辅助搭配肿瘤电热治疗,在进行10次后,颈部肿瘤从5x3公分缩小至2x1公分,明显见效,目前稳定治疗控制中。

萧姓病人进行子宫颈癌第四期治疗时,经歷过放射线治疗与化学治疗的痛苦过程,在家人陪伴支持下渡过;稳定控制癌细胞6年,却还是发生癌细胞转移颈部情况,一度让病人受到打击,又想到将要面临一连串治疗上苦痛,更是非常难过,丈夫的一段话「老婆不用紧张,现在医疗很进步,我们跟着主任的脚步,相信一定有办法治疗」,病人决定再一次与肿瘤抗战。

沈俊佑评估病人肿瘤转移情形后,为让病人减少治疗时的痛苦,建议採用化学治疗搭配肿瘤电热治疗来进行,即使用每次化疗前,先用以电热治疗机,定位肿瘤位置后,以低频电流波将能量输送至患部,再透过机器电磁波加热肿瘤细胞,改善肿瘤微环境,活化肿瘤的通透性,促进肿瘤能对后续化学治疗有反应而提高效果。

沈俊佑表示,对治疗反应不佳的肿瘤,其周围的微环境可藉由约40℃左右的热能来进行改变,透过热能促进肿瘤周边微血管循环,促使进行化疗时可帮助药物更容易到达肿瘤所在位置,增加肿瘤对化疗的敏感度,提高药物治疗效果。

另外也因微血管循环变佳而提高携氧能力,因组织穿透力上升而使得进行放射治疗可以更有效地杀死肿瘤细胞,经由电热治疗也造成肿瘤对放射线伤害的修復力下降,提高了放射治疗的疗效;并且电热治疗还有助于活化人体免疫系统,转化一般免疫反应,转变成为专注于针对肿瘤所会发生的特异性免疫反应。

沈俊佑指出,电热治疗机能够精准地寻找到肿瘤位置,疗程简单、快速且副作用少,以物理原理刺激下进行肿瘤治疗,舒适且非侵入性的方法,可减少病人在治疗过程中所造成的痛苦,是目前进行化放疗、细胞免疫治疗前的最佳辅助搭配治疗方式。

目前电热治疗适用的实体癌包含头颈癌、食道癌、肺癌、乳癌、胃癌、肝癌、胰臟癌、胆管癌、大肠直肠癌、子宫颈癌、摄护腺癌和膀胱癌。虽然电热治疗可以针对肿瘤组织给予局部的温度提升,抑制癌细胞增生并萎缩,对于标准化疗、标靶治疗、放射治疗或免疫治疗可以明显增加治疗效果;但是仍有一些癌症病人不适合接受电热治疗,例如装有心臟节律器或装设植入式助听器等病人,都需要经由专业医师评估并安排疗程。

#肿瘤 #治疗 #电热 #进行 #病人