北市联合医院阳明院区胸腔科医师苏一峰表示,一名男子主诉有咳嗽、流鼻水及痰多等症状,经肺部X光后发现有肺炎情况,男子随后说,同住家人也有相同病症,苏一峰建议他应先做快筛检验,孰料,男子却无奈地说自己买不到快筛,令苏一峰忍不住说「这就是感染黑数,不验就不会确诊!」
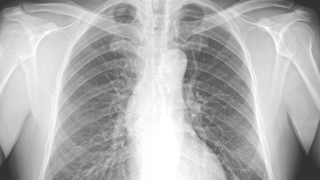
苏一峰今(9)日于个人脸书指出,一名50多岁的男子进入诊间就开始咳嗽、吸鼻水,主诉痰多,他认为男子症状和新冠肺炎相似,再加上肺部X光片也有明显肺炎,他建议男子应该要做新冠肺炎筛检。
男子表示,同住家人也有和他有相同症状,苏一峰听完,语带不悦地说,「你这个状况,有很高的机率是新冠,且全家都有症状,你的肺部X光片也是肺炎,怎么不先做快筛检验?」男子下一秒无奈抱怨,「因为我买不到快筛啊!」苏一峰直呼,这就是感染黑数,不验就不会确诊。
贴文引发网友共鸣,「真的买不到快筛剂的,突显政府无能阿!他也非常无奈吧」、「买不到快筛不验也不是故意的,很无奈」、「要我们打仗,又不给武器的政府」、「世界怎么跟得上台湾」、「不是大家都有美国时间去排快筛,如果真的够又何必排」、「政府实在是太令人失望了」。
发表意见
中时新闻网对留言系统使用者发布的文字、图片或檔案保有片面修改或移除的权利。当使用者使用本网站留言服务时,表示已详细阅读并完全了解,且同意配合下述规定:
违反上述规定者,中时新闻网有权删除留言,或者直接封锁帐号!请使用者在发言前,务必先阅读留言板规则,谢谢配合。