澄清医院胃肠肝胆科医师吴明骏表示,有脂肪肝者,短时间内大量喝酒,容易使肝细胞受到重伤害。(澄清医院提供/冯惠宜台中传真)
澄清医院胃肠肝胆科医师吴明骏表示,有脂肪肝者,短时间内大量喝酒,容易使肝细胞受到重伤害。(澄清医院提供/冯惠宜台中传真)

心情不好借酒浇愁,小心肝臟泡在脂肪中演变成肝衰竭危及生命!台中澄清医院日前收治一名37岁肥胖男性,有脂肪肝病史,因失业闷在家中酗酒,后来出现腹痛、黄疸,经肝臟切片发现肝臟泡在脂肪细胞中且已有肝臟衰竭,经住院1个月后指数才恢復正常。

澄清医院胃肠肝胆科医师吴明骏表示,患者因腹部闷胀不适、皮肤发黄就医,血液检查发现肝指数已飙到正常值30倍、黄疸指数则也有正常值的10倍以上,诊断是酒精性肝炎收住院治疗。

吴明骏表示,入院后病人接受营养与白蛋白补充,但黄疸指数持续攀升,追踪性超音波发现大量腹水,引流腹水效果不好,有肝臟衰竭的情形;之后血中病毒及自体免疫检查,报告皆呈现阴性,在住院两个礼拜不见好转的状况下,帮病人进行肝臟切片检查。

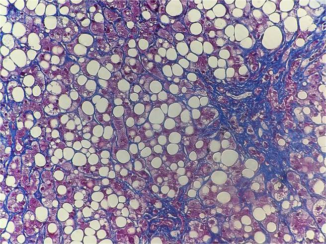
病理结果排除感染或自体的因素,倒是在显微镜底下,可见多个大颗泡泡状结构,肝臟被大量脂肪细胞浸润,符合脂肪肝的诊断;经治疗后病人的精神食欲渐渐恢復,肝指数也慢慢地往下降,终于在一个月后顺利出院。

吴明骏强调,脂肪肝不但可以引发肝指数上升,在感染、压力、酗酒、或药物中毒的情况下,甚至可以造成肝衰竭,危及一个人的生命。除了肥胖与代谢症候群,饮酒是导致脂肪肝的重要因素,尤其是短时间内大量喝酒,容易使肝细胞受到重伤害。

吴明骏也说,患者及其家人在发现是因酗酒差点肝衰竭送命,懊悔不已,也立誓要戒酒。

★中时新闻网关心您:喝酒过量,有碍健康!

★中时新闻网提醒您:酒后不开车,安全有保障

#肝臟 #肝衰竭 #失业 #肥胖 #脂肪肝