病患血栓块塞住脑血管,以「动脉取栓术」取出。(光田医院提供)
病患血栓块塞住脑血管,以「动脉取栓术」取出。(光田医院提供)
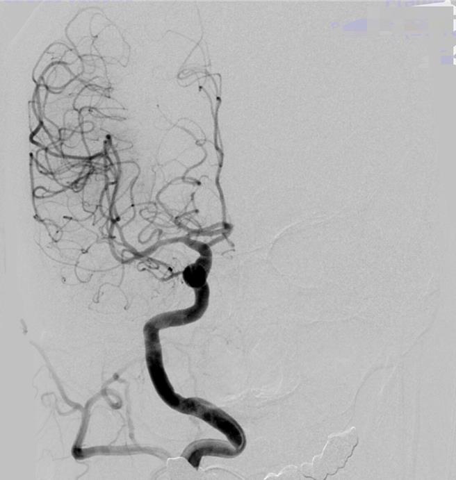
从病患的血管摄影可看出,右半边后面的血管都不见了,即血栓塞住,血流过不去。(光田医院提供)
从病患的血管摄影可看出,右半边后面的血管都不见了,即血栓塞住,血流过不去。(光田医院提供)
进行颅内动脉取栓治疗后,将血栓取出清除,恢復血流。(光田医院提供)
进行颅内动脉取栓治疗后,将血栓取出清除,恢復血流。(光田医院提供)

73岁邱阿嬷某日被邻居93岁阿嬷发现「口歪眼斜」,紧急通知其家人送医,经光田医院脑中风医疗团队紧急抢救后,1周后即康復出院。光田脑中风团队提醒,秋冬气温变化血管易收缩,是脑中风好发季节,呼吁牢记「微笑、举手、说你好」口诀,若无法完成任一动作,即应尽速就医。

邱阿嬷平时早晨都会至邻居家串门子,某日邻居阿嬷发现她看起来不太对劲,「嘴巴歪歪的、眼睛往右偏」,提醒要就医,但邱阿嬷嫌麻烦不想去,好在邻居机警告诉其儿孙,赶紧叫救护车送至光田医院急诊。

光田急诊部发现病患口齿不清、左侧肢体无力,有明显急性中风症状,进行脑部电脑断层扫瞄后,确认没有脑出血,为缺血性脑中风,且病患有心房颤动疾病史,须服用抗凝血药物控制,但已自行停药许久,急诊立即联络神经内科进行治疗。

神经内科医师林毓慧说明,缺血性中风变异很大,发病后可能短短数分钟病情就急速恶化,也可能拖延1至2日慢慢恶化;治疗重点就在「如何疏通血管」。由于病患有脑部大动脉阻塞急性症状,因此先进行血栓溶解治疗,将阻塞在血管里的血栓溶掉,而若是阻塞在大血管里,血栓不一定会顺利溶化掉,因此下一步要进行动脉取栓的评估。

林毓慧提醒,秋冬气温多变化,容易造成血管收缩,是脑中风好发季节,不分老少请牢记「微笑、举手、说你好」口诀,若无法完成任一动作,即应儘速就医,也切勿因症状轻微而忽视严重性。

神经放射治疗科副院长严宝胜指出,治疗时进行动脉取栓评估,会用医疗AI智慧仪器设备去侦测哪一条血管堵住,仪器会侦测出血栓确切位置,再使用器械进入血管内把血栓取出。从该病患血管摄影可看出,右半边后面的血管都不见了,也就是血栓塞住血流过不去,影响的范围很大,必须尽快进行颅内动脉取栓。

光田医院指出,在台湾平均每10分钟,就有1人发生脑中风,医师提醒民眾,脑中风治疗健保给付已放宽,于今年10月1日起,血栓溶解剂治疗,由原先黄金救援3小时延长为4.5小时;11月1日起,动脉取栓术适用于特定大血管阻塞治疗,前循环发病8小时内延长24小时内治疗,后循环发病则维持24小时内治疗,实为全民健康医疗一大福音。

#台中 #中风 #电脑断层 #邻居 #血栓