50多岁王姓男子有高血压病史,因运动走路上坡时出现胸闷情形,来到丰原医院心臟科求诊,在门诊进行心电图、胸部X光检查并无明显异常,为求谨慎,接受多切面心臟电脑断层扫描(MDCT)揪出致命杀手,竟罹患「胸腹主动脉剥离」,经开心手术治疗后已回家休养。
王姓男子有高血压病史,长期诊所看诊拿药,因运动走路上坡时会胸闷,断断续续已出现两个月,他求诊丰原医院心臟科副院长曹承荣,由于身边很多同辈朋友都因心肌梗塞离开,王男每天都很担心。
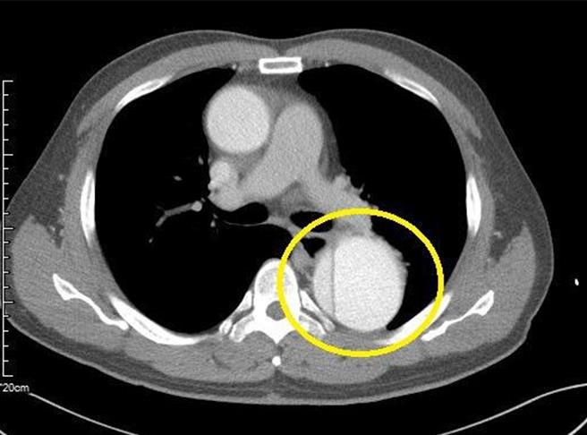
王男经门诊初步心电图、胸部X光检查后并无明显异常,经过与医师讨论后,安排至保康门诊接受多切面心臟电脑断层扫描,此检查可得知两项重要心臟疾病的指标,包括冠状动脉钙化程度、血管狭窄情形;不料,检查后出现惊人结果,王男罹患「胸腹主动脉剥离」,是一种相对严重心血管疾病,知名歌手潘安邦和艺人黄鸿升(小鬼)都是因该急症猝逝。
「胸腹主动脉剥离」如果未及时发现、治疗,会导致严重甚至致命併发症,包括心肌梗塞、脑中风、肺栓塞、急性肾功能衰竭等;王男因只有轻微胸闷,仍可进行日常活动,主因为主动脉出问题的部分在胸部腹部段(俗称:降主动脉),而非「升主动脉」,王男由心臟外科医师接手安排开心手术,目前已回家休养。
丰原医院放射科医师黄竣圣指出,MDCT电脑断层检查的最大优点是非侵入性,可以清楚显示冠状动脉、主动脉等血管的解剖结构,并找出血管硬化狭窄、动脉剥离、动脉瘤形成等异常,因此被广泛应用于心血管疾病的筛检及诊断。
副院长曹承荣提醒,主动脉剥离会使血液流进主动脉壁与内膜之间,如果未及时发现和治疗会,会导致严重甚至致命併发症;主动脉剥离的高危险因子包括长期高血压导致动脉硬化、马凡氏综合徵等遗传疾病,有家族病史或本身有动脉硬化、高血压等心血管疾病史的民眾,应定期就医安排相关影像检查。
发表意见
中时新闻网对留言系统使用者发布的文字、图片或檔案保有片面修改或移除的权利。当使用者使用本网站留言服务时,表示已详细阅读并完全了解,且同意配合下述规定:
违反上述规定者,中时新闻网有权删除留言,或者直接封锁帐号!请使用者在发言前,务必先阅读留言板规则,谢谢配合。