47岁黄姓妇人2年前开始出现语无伦次及在地上翻滚等怪异行为,甚至停红绿灯时从摩托车上自摔,之后更出现莫名殴打同事,事后却一问三不知,家人以为是精神失常,但就医后迟迟找不出原因,直到最近发现低血糖,医师深入检查后揪出是胰岛素瘤惹祸,安排手术切除才恢復正常。

亚洲大学附属医院新陈代谢科医师王子源表示,患者先被家人带到精神科门诊治疗,服药4个多月,脱序症状依旧没改善,精神科医师怀疑是癫痫发作,转诊至神经内科门诊,安排脑波及脑部核磁共振等多项检查,但依旧没有找到原因。

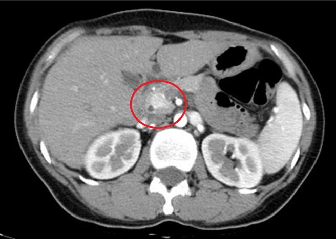
亚洲大学附属医院新陈代谢科医师王子源表示,透过腹部断层扫描察觉胰臟异状。(亚大医院提供/冯惠宜台中传真)
亚洲大学附属医院新陈代谢科医师王子源表示,透过腹部断层扫描察觉胰臟异状。(亚大医院提供/冯惠宜台中传真)
亚洲大学附属医院新陈代谢科医师王子源表示,透过内视镜超音波检查可察觉胰臟异状。(亚大医院提供/冯惠宜台中传真)
亚洲大学附属医院新陈代谢科医师王子源表示,透过内视镜超音波检查可察觉胰臟异状。(亚大医院提供/冯惠宜台中传真)

王子源说,直到半年后患者到诊所健康检查抽血,发现严重低血糖,经转介来门诊寻找病因,由于过去曾诊疗过类似病例,综合前述异常举止及自发性低血糖等症状,怀疑恐是罕见的「胰岛素瘤」,于是安排病患住院检查,也透过腹部电脑断层及内视镜超音波检查,发现胰臟的头部有一颗约1.4公分的肿瘤。

经由外科手术切除后,确认是「胰岛素瘤」,患者术后血糖逐渐恢復正常,脱序行为也不再发生,家人笑说:「捡回来了」!

王子源指出,低血糖症状绝大部分以糖尿病患使用口服降血糖药物或是注射胰岛素不当所引起,胰岛素瘤造成的案例十分少见,且由于病患低血糖发作时以怪异行为表现,而非冒冷汗、脸色苍白、心悸、手抖等典型症状,也让医师很难立即联想到是低血糖造成。

王子源提醒,因患者无法在患病初期就立即诊断并确认疾病,往往要等到病患出现意识障碍、昏倒,发现低血糖,才会转诊至新陈代谢科,再经由抽血及影像检查抽丝剥茧后,才找到真正病因,因此刚开始常被误诊为精神疾病或癫痫发作,因而错过治疗时间。

王子源建议,胰岛素瘤几乎都是良性的,仅须手术切除肿瘤即可,少数病患也可以用药物控制,民眾如果突然出现语无伦次或怪异行为,除了怀疑是精神科或神经科病症外,也可能是少见的胰岛素瘤引发低血糖所致,建议有行为异常状况可以到新陈代谢科就医找答案,才能及早治疗、尽快恢復正常生活步调。

#行为脱序 #精神失常 #低血糖 #胰岛素瘤 #亚洲大学附属医院