台中72岁张老板早年常应酬喝酒拚业绩,10年前查出罹患肝癌,手术切除8公分肿瘤,多年前肝癌復发,以拴塞、放疗及标靶药物治疗恢復。没想到,近日肝癌三度復发,改採烧灼、免疫疗法控制病情,维持生活品质。3度抗癌的他说,「相信医疗团队,活着就有希望」,鼓励抗癌的伙伴。

亚洲大学附属医院肝胆肠胃科主治医师林贤平25日指出,恶性肿瘤(癌症)始终高居我国10大死因首位,而恶性肿瘤中,肝癌则名列前5名,过去常被称为国病。随着医疗进步,目前医界对晚期癌症不再完全悲观,如对抗慢性病般与之长期抗战,帮助患者燃起求生意志,积极治疗。

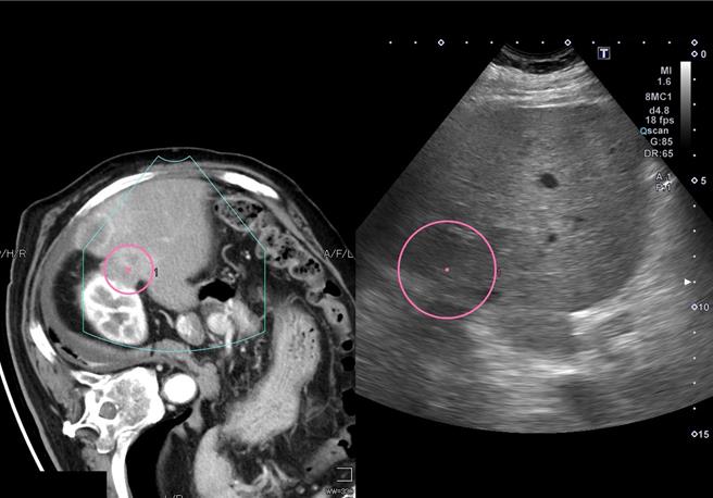
台中72岁张老板早年常应酬喝酒拚业绩,10年前罹患肝癌以手术切除8公分肿瘤,多年前復发以拴塞、放疗及标靶药物治疗控制,没想到近日三度復发,再採烧灼、免疫疗法治疗,仍维持良好生活品质。(亚大医院提供/潘虹恩台中传真)
台中72岁张老板早年常应酬喝酒拚业绩,10年前罹患肝癌以手术切除8公分肿瘤,多年前復发以拴塞、放疗及标靶药物治疗控制,没想到近日三度復发,再採烧灼、免疫疗法治疗,仍维持良好生活品质。(亚大医院提供/潘虹恩台中传真)

回忆10年抗癌歷程,起初张老板因酗酒致肝硬化,但他不以为意,直到容易疲倦、无力,甚至厌食暴瘦约6公斤,才警觉健康亮红灯,最后因腹痛难耐就医发现长出约8公分大的肝恶性肿瘤,切除术后恢復良好。多年前追踪发现肝癌復发,侵犯到下腔静脉靠近心臟位置,採经肝动脉血管栓塞化学疗法、放射疗法与标靶药物控制病情。

张老板今年初追踪时,又发现1公分大的新生肝内小肿瘤,确认是復发的肝癌,使用射频烧灼术消除肿瘤,几个月后又发现3颗復发的肝癌肿瘤,接受经肝动脉血管栓塞化学疗法与免疫药物治疗。张老板日前回诊表示,身体健康稳定,还能跟家人一起外出旅游,并强调「信任医疗团队,只要活着就有希望」,鼓励抗癌的伙伴。

林贤平强调,患者从首度发现肝癌迄今已10年,虽然没有完全治癒肝癌,但拜新治疗药物与侵入性治疗进步所赐,包括手术、栓塞、放射、消融、标靶药物及免疫疗法等新工具,依旧能延长患者生命并保有不错的生活品质,所以即使面对难以治癒的晚期肝癌,都可以谘询专科医师讨论治疗方式,千万不要太早放弃。

★《中时新闻网》关心您:饮酒过量,有碍健康。酒后不开车,安全有保障!

#台中 #亚大医院 #老板 #喝酒 #肝癌