苗栗一位15岁少年近几个月来持续性腹胀不适、身体虚弱、体力下滑,日前更因腹胀不舒服前来苗栗县大千医院急诊就医,经外科部主任冯启彦检查发现,少年有严重贫血及大量腹水的现象,抽血检验癌症指数CEA竟高达16(正常值小于5)。进一步安排电脑断层穿刺及大肠镜切片之后,赫然发现少年竟然是大肠癌第四期,且癌细胞已在腹腔内扩散。

在电脑断层检查下发现大量腹水及大肠狭窄。(大千医院提供/谢明俊苗栗传真)
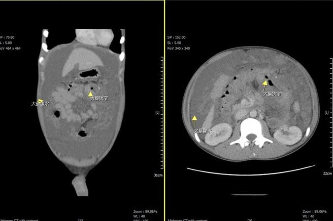
在电脑断层检查下发现大量腹水及大肠狭窄。(大千医院提供/谢明俊苗栗传真)
苗栗县大千医院外科部主任冯启彦提醒,若出现大肠癌症状,无论年纪大小,务必及早就医。(大千医院提供/谢明俊苗栗传真)
苗栗县大千医院外科部主任冯启彦提醒,若出现大肠癌症状,无论年纪大小,务必及早就医。(大千医院提供/谢明俊苗栗传真)

冯启彦表示,大肠癌初期的症状不明显,容易与其他健康问题混淆,因此一定要注意下列主要徵兆:

1.血便:可能出现深红或黑色的粪便。

2.排便习惯改变:例如便秘、腹泻、排便频率改变或大便形状变细等,都可能是肿瘤影响肠道导致的结果。

3.不明原因的腹痛:持续的腹部不适,特别是伴随排气困难,可能是肿瘤造成肠阻塞的徵兆。

4.疲劳感:即使有充足的休息,仍然感到疲惫,这可能是因癌细胞消耗身体能量或失血引起的。

5.体重无故减轻:在六个月内体重无故减轻5公斤以上,就需要警觉。

6.其他症状:像是腹部肿块、贫血、排便后仍有便意等。

冯启彦指出,近年来因饮食及生活习惯改变,大肠癌确实有年轻化的趋势,加上越年轻的癌症病人,其发病的恶性度就会越高。这次15岁案例的大肠癌为分化最差的腺癌,因已多处扩散,无法以手术一次完整切除乾净,因此只能先以化学治疗为主。冯启彦特别提醒,如有出现上述症状,无论年纪大小,都要及早到医院进行详细检查,才能早期发现、早期治疗。

#大肠癌 #四期 #腹胀 #癌细胞扩散 #少年