以下是含有菌血症的搜寻结果,共43笔
肺炎长年位居台湾十大死因第三位,每逢秋冬更随着流感及多种呼吸道病毒活跃,对高龄长者与慢性病患者威胁甚大。为守护社区健康、提醒民眾及早防护,亚东医院响应世界肺炎日,举办「世界肺炎日民眾卫教活动」,藉由浅显易懂的卫教讲座与互动问答,带领民眾深入了解肺炎预防与疫苗接种观念。亚东医院副院长彭渝森指出,肺炎并非无法对抗,只要「提早预防、正确识别、及时治疗」,就能大幅降低风险,守护家人健康。
宜兰县五结乡新德记肥料厂老板李耀全,9月下旬不顾年近七旬身躯,自掏腰包出车送爱前往花莲光復乡赈灾,不料疑似在运送过程中吸入带菌粉尘,返家后身体不适昏迷,一度命危。经插管治疗12天后,病情奇蹟好转,让陪伴守候多日的家人感动落泪,也让乡亲再次见证奇蹟,直呼「好心有好报」。
为缓解急诊壅塞,卫福部8月起推动门诊静脉抗生素注射(OPAT)。台大急诊医师分享,上周六留观病人超过130位,挤满走廊两侧,其中4位病人转到门诊接受抗生素治疗,下午直接返家,「以台大医院2000多床来看,如果能让这类病人平均缩短1天住院,等于每天释出将近600张床位!」
秋冬是流感好发季节,由于症状和感冒相似,不容易发现,可能错过黄金治疗时间,尤其长者、慢性病患等免疫力差的族群,流感症状往往不典型,且容易併发重症而陷入生命危险。若要远离流感威胁,预防胜于治疗,接种疫苗是最有效的方式。
一名88岁、原本头脑清晰的林姓退休教师,今年初出现间歇性发烧与剧烈咳嗽,在短短3周内病情急转直下,从生活自理退化至卧床不起,伴随认知功能变差、失禁、反应迟钝等症状,家人一度以为是失智症急速恶化。经送往台中荣民总医院详细检查后,惊觉元凶并非失智或中风,而是由隐球菌引起的「隐球菌脑膜炎」。
丹娜丝颱风不仅带来强风豪雨,风灾后因为积水严重,疾管署今天公布,国内新增2例类鼻疽本土病例死亡个案,其中1例死亡、5例鉤端螺旋体病。疾管署发言人曾淑慧提醒,颱风后一个月内,都是传染病高风险传染时期,民眾灾后復原整理家园时重建时,一定要佩戴口罩、穿雨鞋、戴手套等,避免接触与吸入感染。
现年57岁的主持人沈玉琳,自7月底送医住院后,详细病情外界无法得知,家人好友都强调他状况稳定,驳斥外界任何传言。不过沈玉琳今(6)日在脸书发文确认,自己是得了白血球异常增生的白血病。据卫教文章说明,该病主要症状为全身乏力、微热、多汗或盗汗,以及时常不明原因出血。
再生双法预计将在明年元旦上路,坊间现已有医美诊所为病人进行外泌体注射。医事司长刘越萍直言这些诊所「胆子很大」,一个不小心,病患恐因菌血症死亡。目前国内尚未核准外泌体的治疗行为,若要执行,应先申请人体试验后,才依计画收治病患,这样的诊所,包含施作的人通通都会被罚。我国现行仅核准生技公司以人体细胞衍生的外泌体,作为化粧保养品原料。
丹娜丝颱风不仅重创中南部,更出现类鼻疽疫情!疾管署公布,上周高雄一口气出现6例,创下歷年单周次高,其中2例死亡,个案分别都有慢性肝病和高血压病史,一名高龄个案发病隔天就死亡。疾管署统计,今年已经累计27例,创23年来同期最高纪录。
这次丹娜丝颱风不仅重创中南部,每逢颱风后,就会出现类鼻疽疫情,疾管署公布,上周高雄一口气出现6例,创下歷年单周次高,且其中2例死亡,个案分别都有慢性肝病和高血压病史,且有污水、污泥接触史。疾管署统计,今年已经累计27例,创下23年来,有史以来同期最高纪录。
55岁男子阿国(化名)因为本身行动不便,没有办法找到稳定的工作,所以收入并不稳定,而且他的低收入补助遭到取消,他因此无法维持基本生活,所以依法请求他的女儿小萱(化名)给付扶养费用,并按月支付5000元给他,直到他的死亡之日为止。
台东一名男子阿郎(化名)与前妻育有一女,因行动不便、无法稳定工作且低收入户补助被取消,向法院声请要求女儿每月支付5000元扶养费。不过,女儿指出,父亲过去经常酒后对她施暴,甚至曾以家具砸伤她,请求免除扶养义务。台东地方法院审酌情节重大,裁定驳回其声请。
一名饲主将13岁身体不适的猫咪送往动物医院救治,发现猫咪胰臟癌復发,但饲主认为动物医院处理消极,转送他院检查后又返回原医院,没多久就病情恶化过世,饲主认该动物医院有医疗疏失,提告遭驳回又上诉,仍遭驳回。
艺人大S(本名:徐熙媛)3日传出在日本因流感併发肺炎病逝,享年48岁,有消息人士透露,「败血症」才是她的真正死因。不过,医师出身的前立委沈富雄除质疑,大S有无进行抽血细菌培养检测?也研判,大S的死因可能是呼吸衰竭。
本报11日报导青少年淋病病例在过去12年间暴增7倍,引起家长热烈讨论及关切。国教行动联盟今天呼吁卫福部责无旁贷,应正视青少年性病日益严峻问题,儘快提出有效防治策略,并做好数据监测与危机警示。
肺炎长年位居我国10大死因前3名,尤其更是「老人杀手」,65岁以上长者感染重症机率及死亡率急遽上升。医师指出,「肺炎链球菌」为肺炎最常见致病菌,在社区型肺炎中占约27%,今年感染肺炎链球菌病例达244例,创下近5年新高,呼吁65岁以上长者接种2剂公费肺链疫苗,远离肺炎威胁。
肺炎位居2023年国人十大死因第3名,且死亡人数不断升高。医师指出,肺炎链球菌是社区型肺炎最常见致病菌,尤其侵袭性肺炎链球菌感染病例更创5年新高,死亡率平均约20%,老人感染死亡率高达60%,呼吁65岁以上长者接种2剂公费肺链疫苗,远离肺炎威胁。
根据统计,肺炎位居国人十大死因前3名,卫福部疾管署自2007年10月15日起,将侵袭性肺炎链球菌感染症明订为第4类法定传染病;另外,台湾社区型肺炎中,约有23%是因肺炎链球菌感染所造成,更显预防的重要性。
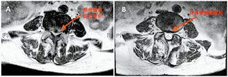
糖尿病患者比一般人更容易脊椎退化,接受脊椎手术后,伤口感染风险也更大。一名52岁李先生,罹患糖尿病多年,长期久坐导致第4、5腰椎严重退化狭窄,下背痛及腿部麻木,甚至无法正常行走,接受新式超音波骨刀内视镜手术后,不仅顺利避免感染,恢復期也比预期短、术后疼痛明显减轻,重拾健康生活。
一名52岁李姓工程师罹患糖尿病多年,长期久坐导致第4、5腰椎严重退化狭窄,下背痛及腿部麻木,甚至无法正常行走。李先生原本担心脊椎手术有高感染风险,今年在基隆长庚接受新式「超音波骨刀内视镜手术」,不仅顺利避免感染,恢復期也比预期短、术后疼痛明显减轻,重拾健康生活。