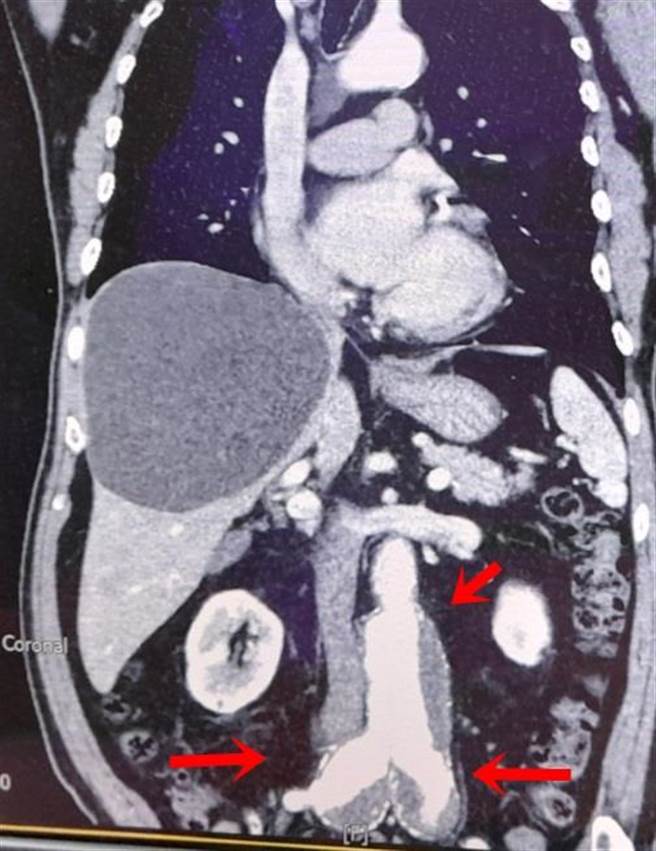
71岁刘先生罹患肺癌,肾臟功能也不佳正在治疗中。他因腹胀、食欲不振、体重骤降,到童综合就医检查,赫然发现肾臟下有直径6公分腹主动脉瘤,双侧总肠骨动脉也各有4公分动脉瘤,随时都可能破裂而瞬间危及生命。童综合医院安排病人至复合式手术房进行微创腹主动脉瘤血管内支架修补手术,以及肠骨动脉血管支架置放手术,术后隔天可下床走动,住院4天即返家休养。
童综合心臟外科医师李志贤表示,总肠骨动脉(也称作髂动脉)又分为左右两侧,是腹主动脉末端的主要分支血管,主要是负责供应骨盆腔器官及下肢的血流。
由于个案患有多重疾病,竟又在腹主动脉与两侧总肠骨动脉都长出动脉瘤,分别有6公分与4公分大小,随时都有破裂的危险,所以需儘快进行手术治疗。以前作法是保留一侧内肠骨动脉,另外一侧内肠骨动脉要做栓塞处理,手术时间长而且会影响骨盆腔器官血流。
健保署于2010年通过肠骨动脉支架,简称IBE(iliac branch endoprosthesis),可让病人双侧内肠股动脉都保留,缩短手术时间也不影响骨盆腔器官血流。安排在复合式手术室直接进行血管摄影,从会阴处切开两个1公分伤口,然后将人工血管支架经血管摄影导引,顺着血管置入至病变处。
李志贤指出,复合式手术室可以直接进行血管摄影并同步手术,不用分次或移动检查,对复杂性及多重疾病的病人来说,大大降低手术风险。这次病人接受肠骨动脉支架置放手术,避免阻断内肠骨动脉血流,可保留骨盆腔血流,避免骨盆腔器官的损伤。
发表意见
中时新闻网对留言系统使用者发布的文字、图片或檔案保有片面修改或移除的权利。当使用者使用本网站留言服务时,表示已详细阅读并完全了解,且同意配合下述规定:
违反上述规定者,中时新闻网有权删除留言,或者直接封锁帐号!请使用者在发言前,务必先阅读留言板规则,谢谢配合。