沈积在脑部右边颞叶脂肪粒(红圈处),导致少年出现情绪症状。(光田综合医院提供/陈淑娥台中传真)
沈积在脑部右边颞叶脂肪粒(红圈处),导致少年出现情绪症状。(光田综合医院提供/陈淑娥台中传真)
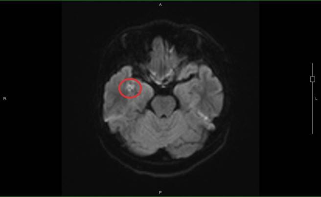
沉积在脑部左边额叶脂肪粒(红圈处),导致少年出现情绪症状。(光田综合医院提供/陈淑娥台中传真)
沉积在脑部左边额叶脂肪粒(红圈处),导致少年出现情绪症状。(光田综合医院提供/陈淑娥台中传真)
光田综合医院骨科医师严可伦指出脂肪粒从断骨处释放散出。(光田综合医院提供/陈淑娥台中传真)
光田综合医院骨科医师严可伦指出脂肪粒从断骨处释放散出。(光田综合医院提供/陈淑娥台中传真)

台中一名少年阿成(化名)因车祸导致大、小腿开放性骨折,然而住院治疗期间却性格大变,出现嗜睡、爱理不理,甚至顶撞家人、对看护呛声,幸经光田综合医院骨科部医师严可伦在第一时间确诊为骨折併发脂肪脑栓塞,会诊神经内科医师黄炳钟共同治疗后,病患情况日益进步并返家休养,回诊追踪时已恢復昔日的礼貌与乖巧。

17岁的阿成因车祸导致大腿、小腿骨折,在医院治疗时性格丕变,原本只是青春期的叛逆青少年变成恶霸,白天睡觉、晚上吵闹,对于家人、医护及看护的善意叮嘱都不屑顶撞,少年祖母相当不解,平日还算礼貌的金孙怎么变成屁孩还劝不听。

收治阿成的主治医师严可伦指出,与他深谈之后才知道,他前些日子不慎误入歧途触法,让家人伤透了心;不料此次又发生车祸意外,面对治疗时乍看之下以为是爱理不理、傲慢的态度,然而仔细观察发现他反应迟缓、意识怪异,而且车祸当下经电脑断层扫瞄确认大脑未有损伤,也排除了酒驾与药物滥用,因此高度怀疑是骨折併发脂肪脑栓塞,而导致病人出现失序行为和情绪不稳,安排核磁共振确诊。

严可伦解释,股骨(大腿骨)、胫骨(小腿骨)是人体的长形骨,骨头中央有着脂肪丰富的骨髓,当病患骨折时,这些脂肪粒从断骨处释放散出,随着血液回流后先经过肺臟,因此脂肪栓塞常常发生在肺部,病人会出现喘不过气、血氧降低等症状,但阿成完全没有肺部症状,脂肪意外卡在脑部。

黄炳钟说明推测病患可能年轻,骨髓中的脂肪粒微小,通过肺部后再随血液至脑部而沉积在左边额叶及右边颞叶,这两处都与情绪处理相关连,因而出现情绪症状。

「医师谢谢您,我知道大家都很辛苦照顾我,我会努力康復好起来的!」回诊追踪时阿成很有礼貌的向医师道谢,完全看不出来1个月前他曾是医疗团队心目中的头痛人物。

严可伦说,阿成相当幸运,在密切观察给与支持治疗后,沉积的脂肪粒逐渐由身体吸收,情绪恢復稳定,回到原本彬彬有礼的孩子,没有留下不可逆的后遗症,少年也和家人约定好康復之后会认真学习一技之长,不让家人担心了。

严可伦提醒,骨折併发的脂肪栓塞好发在年轻人身上,因为年轻人骨头内油脂含量丰沛,而全身骨骼中,又以大腿骨、小腿骨等长骨油脂含量最丰富,骨折后最可能发生脂肪栓塞。

#阿成 #严可伦 #脂肪 #骨折 #併发