台中少年阿成(化名)因车祸致腿部开放性骨折,以往彬彬有礼,却在住院期间顶撞家人、对看护呛声,性格丕变。经光田综合医院骨科部医师严可伦确诊为骨折併发脂肪脑栓塞,由于少年骨髓中脂肪粒意外卡在脑部左额叶及右颞叶,这两处与情绪处理相关连,因而出现失序行为。
17岁阿成因车祸造成大、小腿开放性骨折,住院时性格丕变,原本只是青春期叛逆却变成恶霸,白天睡觉晚上吵闹,对家人医护及看护善意叮嘱都不屑,甚至顶撞。医生发现他反应迟缓、意识怪异,且经检查大脑未有损伤,也排除酒驾与药物滥用,高度怀疑是骨折併发脂肪脑栓塞。
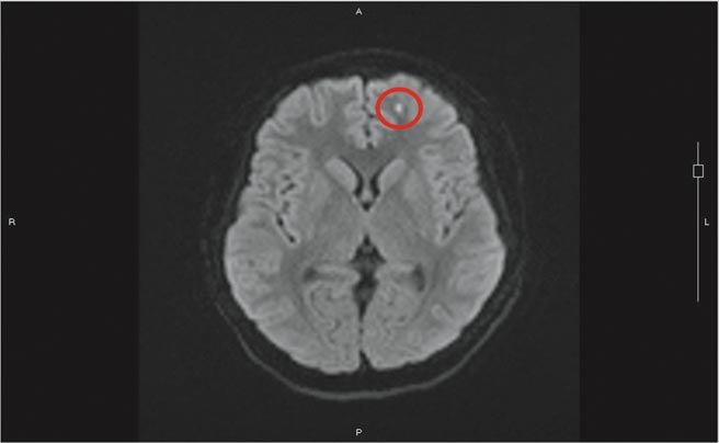
骨头中有脂肪丰富的骨髓,当病患骨折时,脂肪粒从断骨处释放散出,随着血液回流后先经过肺臟,因此脂肪栓塞常发生在肺部,但少年完全没有肺部症状。
神经内科医师黄炳钟推测病患可能因年轻,脂肪粒微小,通过肺部后再随血液至脑部而沉积在左边额叶及右边颞叶,这两处与情绪有关,才出现失序情形。
严可伦表示,病患经治疗后,脂肪粒逐渐由身体吸收,情绪恢復稳定,没有留下不可逆后遗症。骨折併发脂肪栓塞好发年轻人身上,因年轻人骨头内油脂含量丰沛,而全身骨骼中又以大、小腿骨等长骨油脂含量最丰富。
发表意见
中时新闻网对留言系统使用者发布的文字、图片或檔案保有片面修改或移除的权利。当使用者使用本网站留言服务时,表示已详细阅读并完全了解,且同意配合下述规定:
违反上述规定者,中时新闻网有权删除留言,或者直接封锁帐号!请使用者在发言前,务必先阅读留言板规则,谢谢配合。