55岁的庄先生,在几年前发现自己的「该边」有小肿块,但只要推一下肿块就会消失在腹部,所以不以为意,直到突然发生持续噁心、呕吐,且「小肿块」长大至约10公分小苹果的大小,因为发现时仍可再推回腹部,因此当时即使感觉不对劲也没有立刻就医,没想到三天后「小苹果」快速长大,且庄先生发生呼吸困难、无法正常进食与排尿,才赶紧至卫生福利部台北医院急诊就医。
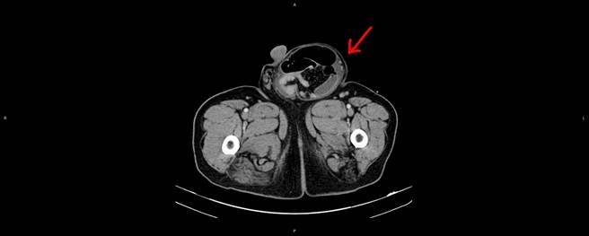
外科黄善鸿医师表示,透过电脑断层检查发现,病人的右侧腹股沟肿块直径达15公分,诊断为嵌顿性腹股沟疝气,且合併小肠阻塞、急性肾衰竭,小苹果已经变成大水梨了,要赶快手术处理,庄男经紧急接受肠道沾黏分离手术与疝气修补手术后恢復良好,肾衰竭已自行改善,也免于终身洗肾,庄先生10日后即顺利出院,庄男开心表示总算摆脱小苹果。
黄善鸿医师说明,疝气就是俗称的「坠肠」、「脱肠」,是常见的外科疾病,是当身体突然用力时,造成器官或组织移动到不正常的位置所造成,一般外观会有突起,特别是在久站、运动或肚子用力后更加明显。疝气于任何年龄层都会发生,包括婴幼儿至老人,但常见发生的族群为男性、年长者、慢性咳嗽或长期便秘者,及有疝气家族史、怀孕女性、曾发生疝气者。
疝气发生的形态与手术治疗方式略有不同,初期通常可将突起部位推回腹腔,但若久未处理,又或者若器官组织掉落卡住的位置较特别,可能危及性命;例如肠道卡在疝气囊里,血液因无法顺利传送,可能造成器官组织缺血或坏死,形成「嵌顿性腹股沟疝气」,病人此时会有肚子疼痛、发烧、噁心、呕吐等症状,十分不适。尤其坏死的肠道容易导致肠穿孔、腹腔感染,造成病情加重,最严重可能导致败血症、穿孔性腹膜炎、休克、死亡,严重危及生命,是腹部的急症,需要立即手术。
黄善鸿医师分享,曾有病人不知道自己的腹部疼痛是疝气,也没有就医寻求诊断,而是自行吃止痛药,但由于止痛药仅能止痛,并无法修復已变脆弱的腹壁结构,也无法改善病情,当送医时已延误就医时机,严重至需要进行紧急手术,此时已需切除部分肠道,并可能导致短肠症候群而影响食物吸收或腹腔沾黏引发肠阻塞復发,因此黄善鸿医师提醒,若身为高危险群,且有发现股沟「该边」处有异常突起时,应就医寻求详细诊断。
目前因为医疗与医学材料的进步,有许多人工腹膜补强手术,包含传统手术与腹腔镜手术可供病人选择,尽早就医与治疗,可改善症状与避免併发症,维持好的生活品质。
发表意见
中时新闻网对留言系统使用者发布的文字、图片或檔案保有片面修改或移除的权利。当使用者使用本网站留言服务时,表示已详细阅读并完全了解,且同意配合下述规定:
违反上述规定者,中时新闻网有权删除留言,或者直接封锁帐号!请使用者在发言前,务必先阅读留言板规则,谢谢配合。