彰化医院肿瘤中心主任宋时雨呼吁B肝带原者,一定要定期每半年追踪一次。(吴敏菁摄)
彰化医院肿瘤中心主任宋时雨呼吁B肝带原者,一定要定期每半年追踪一次。(吴敏菁摄)
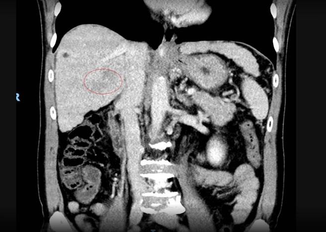
53岁的詹姓男子轻忽B肝,10多年未追踪竟已是晚期肝癌,肿瘤10公分。(彰化医院提供/吴敏菁彰化传真)
53岁的詹姓男子轻忽B肝,10多年未追踪竟已是晚期肝癌,肿瘤10公分。(彰化医院提供/吴敏菁彰化传真)
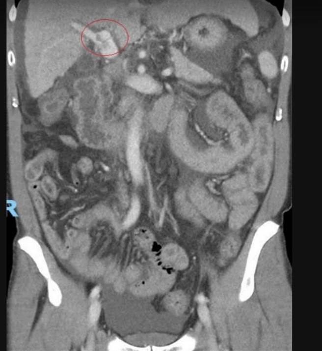
53岁的詹姓男子轻忽B肝,10多年未追踪竟已是晚期肝癌,肿瘤10公分,经治疗后,肿瘤几乎都消失了。(彰化医院提供/吴敏菁彰化传真)
53岁的詹姓男子轻忽B肝,10多年未追踪竟已是晚期肝癌,肿瘤10公分,经治疗后,肿瘤几乎都消失了。(彰化医院提供/吴敏菁彰化传真)

53岁的詹姓男子轻忽B肝,10多年未追踪竟已是晚期肝癌,肿瘤并已侵犯肝门静脉,不适合换肝,他心如死灰,绝望之余接受卫福部彰化医院肿瘤中心安排的呼吸调控放射线治疗的方式,加上口服标靶药物,1个月后,10公分的肝门静脉的肿瘤几乎都消失了。

彰化医院肿瘤中心主任宋时雨表示,詹男是B肝患者,因为没症状就没有追踪,直至今年中觉得肚子胀胀、闷闷的,查发现其右肝部位出现10公分大的肿瘤,并已经扩散到肝门静脉,诊断为3B期。

患者的哥哥多年前也罹肝癌,经过肝臟移植后,目前过得很好,这让患者认为换肝就能处理他的肝癌,但他到了多家医学中心,医师都认为即使换肝,肝门静脉的癌细胞还是会扩散过来,换肝并不可行,但他又执着于换肝,在各大医院间穿梭,无法进入换肝评估,到后来几乎绝望了。

宋时雨劝他不要放弃希望,建议先处理肝门静脉的肿瘤,透过精准定位的呼吸调控放射线治疗及口服标靶药物,先将癌细胞消灭,届时就可以进入肝臟移植或肿瘤栓塞治疗。经过1个多月15次放疗之后,詹先生的肝门静脉肿瘤几乎消失了,也顺利地进入外科手术评估,重燃希望。

宋时雨强调,卫福部估计全台约有180万B肝带原者,这些人一定要定期每半年追踪一次,一有异状即可早期治疗,避免走到肝癌晚期才发现的命运;并指出医疗技术持续进展,即使已经走到无法器官移植的地步,也可透过其他医疗技术达到治疗的目的,不要轻言放弃。

#肿瘤 #换肝 #肝门 #静脉 #B肝