配合国民健康署肺癌早期侦测计画,由国健署补助肺癌高风险族群每2年1次免费低剂量电脑断层(简称LDCT)筛检,高雄市立大同医院自111年7月1日起至10月21日总收案的来人数已达485位,完成低剂量肺癌筛检检查者共439位,为高雄市市立医院筛检数最高。这段期间的筛检,大同医院共发现四位确诊肺癌病患,经过调查这四位民眾均无抽菸史,但都具有肺癌家族病史,显示除了抽菸之外,肺癌家族史也是国人罹患肺癌另外一项危险因子。

国健署肺癌早期侦测计画2年1次低剂量筛检  大同医院筛检人数高市立医院之冠│高雄
国健署肺癌早期侦测计画2年1次低剂量筛检 大同医院筛检人数高市立医院之冠│高雄

国健署肺癌早期侦测计画2年1次低剂量筛检  大同医院筛检人数高市立医院之冠│高雄
国健署肺癌早期侦测计画2年1次低剂量筛检 大同医院筛检人数高市立医院之冠│高雄

大同医院副院长洪仁宇表示,肺癌常常是各个国家癌症死亡原因之首,依据国民健康署的统计,民国100年至110年我国肺癌标准化死亡率虽然下降了14.6%,但是肺癌仍高居台湾癌症死因第一位。肺癌个案的死亡率高,主要与诊断的期别有关,108年臺湾癌症登记资料显示,每2个肺癌确诊个案就有1个已经是第4期。肺癌早期(0及1期)的5年存活率达9成以上,但第4期就急降至1成,期别之间存活率差距甚大,这也显示肺癌早期筛检,早期介入的重要性。

洪仁宇副院长进一步表示,早期民眾所认知的肺癌危险因子都与抽菸有相关,却忽略肺癌与肺癌家族病史也有相关。以本医院为例,总筛检人数为439位,有四位确诊为肺癌,甚至其中有一位经过切片确认已经是第四期。大同医院希望透过国民健康署此次的计画,可以提早筛出第二期之前的肺癌患者,进行早期医疗介入,提高肺癌病患存活率,因此有肺癌家族史、重度吸菸史的中高龄等高风险族群,要尽速接受由政府补助每2年1次免费的低剂量肺部电脑断层筛检。同时提醒大家,早期的肺癌一般是没有症状的,若民眾非为上述高风险族群,但是有其他肺癌的危险因子,即便没能受公费补助,但健康更为重要,呼吁民眾应定期肺部筛检,早期发现、早期治疗。

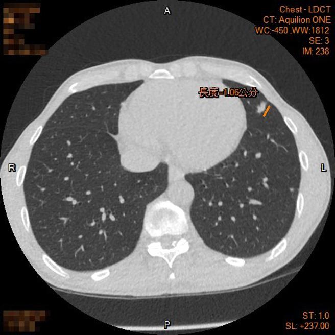
这次国民健国署补助的低剂量肺部电脑断层LDCT,是目前具国际实证,可以检测早期肺癌的有效工具。其优点是影像解析度与灵敏度较一般胸部X光高,但是辐射线的暴露量又较一般的电脑断层为低。高雄市立大同医院胸腔内科李岱晃医师表示,有些患者肿瘤虽然只有1公分,但在低剂量肺部电脑断层的检视之下,其恶性特徵非常明显,就必须尽早手术;也有些患者的肿瘤恶性特徵虽然不高,但是提早介入并定期追踪是否有变化,万一有变化时可早期介入处理。

#肺癌 #筛检 #低剂量 #大同医院 #早期