58岁简女士数月前却突然久咳不停,痰液浓稠偏黄且带有血丝,近日变本加厉且合併发烧、影响食欲,就医发现是支气管扩张症惹祸,经药物及呼吸復健1个多月大幅改善。(亚大医院提供/潘虹恩台中传真)
58岁简女士数月前却突然久咳不停,痰液浓稠偏黄且带有血丝,近日变本加厉且合併发烧、影响食欲,就医发现是支气管扩张症惹祸,经药物及呼吸復健1个多月大幅改善。(亚大医院提供/潘虹恩台中传真)

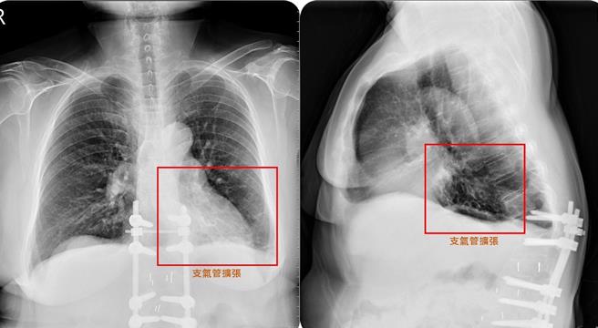
58岁简女士从未抽菸,数月前却突然久咳不停,痰液浓稠偏黄且带有血丝,近日变本加厉且合併发烧、食欲受影响。经就医发现,她的左肺支气管粗大,被痰塞满,是支气管扩张症惹祸,幸经药物及呼吸復健1个多月,症状大幅改善。

亚洲大学附属医院胸腔内科主治医师谢逸安26日表示,慢性咳嗽原因多,常见如急性感染如霉浆菌、慢性呼吸道疾病如气喘、肺阻塞,或是肺部以外器官如鼻涕倒流、胃食道逆流等,甚至非感染性的全身性发炎疾病都是可能引起久咳不癒,例如「支气管扩张症」就是其中之一。

谢逸安指出,支气管扩张症主要是肺部支气管壁因为先天(基因)或后天原因导致结构破坏,小支气管失去弹性弯曲及扩张,形成永久不可逆的扩张,导致痰液堆积,而支气管壁上负责执行痰液清洁的纤毛,也因反覆发炎遭到破坏。

他说,该病最常见的症状是咳嗽不止,不仅早晨会咳出又脏又浓的黄痰,甚至有血痰、呼吸困难及胸痛等併发症,呼吸道感染频率也会随之增加,若是长期未治疗,还会导致食欲减退及容易疲倦,增加呼吸衰竭的风险。

谢逸安提醒,支气管扩张症是慢性病,目前尚未有可恢復支气管的治疗方式,但若以适当姿势引流、拍背、学习呼吸控制及气道清除技术,再搭配化痰药及排痰剂、吸入性支气管扩张剂,多半能改善症状。

#亚大医院 #谢逸安 #支气管扩张 #呼吸衰竭 #咳血