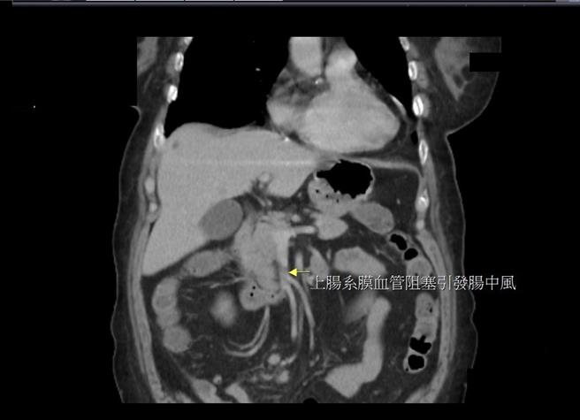
苗栗县一名81岁杨姓老妇因突然发生腹部剧痛,经紧急送往苗栗县大千医院急诊,检查发现有明显腹膜炎状况,因此紧急安排腹腔镜手术,手术中发现病人小肠有一半已出现泛黑、肠壁肿胀、肠道空气外漏、大量腹水等早期坏死缺氧现象,为临床上少见的肠中风。
大千综合医院外科部主任冯启彦表示,一般民眾较熟知脑中风或心肌梗塞,但对于肠中风较陌生,其实肠中风与脑中风、心肌梗塞形成的原因是一样的,都是血管阻塞产生的缺氧坏死,常出现在糖尿病及高血压的病人身上。肠中风容易发生在上肠系膜动脉阻塞,而上肠系膜动脉供应大多数小肠及一部份大肠的血流,因此一旦发生血管阻塞,影响的肠道非常广泛。
冯启彦说明,发生肠中风时,若延误太久导致肠道坏死,往往需要将大部分的小肠全部切除,病人会因短肠症造成营养不良及高死亡率。此次个案幸好发现得早,经由通血路药物、给足水份及高浓度氧气之后,肠道坏死现象有逐渐改善,一周后开始进食,并顺利出院返家。
冯启彦提醒,肠中风虽然少见,却是非常紧急的腹部急症,通常都是突然之间的急性腹痛,因此若本身是糖尿病及高血压的病人突然腹痛时,一定要尽快到医院就医,才能及时诊治,挽回宝贵的生命。
发表意见
中时新闻网对留言系统使用者发布的文字、图片或檔案保有片面修改或移除的权利。当使用者使用本网站留言服务时,表示已详细阅读并完全了解,且同意配合下述规定:
违反上述规定者,中时新闻网有权删除留言,或者直接封锁帐号!请使用者在发言前,务必先阅读留言板规则,谢谢配合。