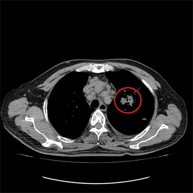
治疗六个月肺腺癌已明显缩小到3公分。(台中澄清医院提供/冯惠宜台中传真)
治疗六个月肺腺癌已明显缩小到3公分。(台中澄清医院提供/冯惠宜台中传真)
澄清医院中港院区胸腔内科医师江雅惠建议民眾要定期做肺部的健康检查,肺腺癌形成的原因很复杂,能早期发现一定会有更好的治疗效果。(台中澄清医院提供/冯惠宜台中传真)
澄清医院中港院区胸腔内科医师江雅惠建议民眾要定期做肺部的健康检查,肺腺癌形成的原因很复杂,能早期发现一定会有更好的治疗效果。(台中澄清医院提供/冯惠宜台中传真)

台中一名66岁的男子抽菸四十年,虽多年前戒了菸,半年前因体重急速下降5公斤又持续右胸疼痛,竟诊断出他左上肺的肺腺癌已达7.2公分,像一颗棒球似的,澄清医院胸腔内科医师江雅惠表示,右胸疼痛,左肺有肺腺癌,是癌细胞已移转肋骨,经肺癌团队的精准治疗,齐力「围杀」癌魔,该患者的肺腺癌已缩小至3公分左右。

这位患者以右胸疼痛难忍求诊,一度怀疑是心肌梗塞的前兆,经心电图检查并无异状,却在X光检查发现左上肺好大一片阴影,再以肺部电脑断层扫瞄,确定他的肺部肿瘤已达7.2公分,经病理切片检验证实是罹患凶恶的肺腺癌。

江雅惠表示,启动跨科团队,以正子电脑断层全身造影,确诊末期的肺腺癌,且癌细胞已移转到纵隔腔的淋巴、锁骨、肋骨、脊椎等处。四种基因检测,证实是属于表皮生长因子受体变异的肺腺癌,适合做标靶药物的治疗,于是为该患者展开精准治疗。

由于该患者有骨骼移转癌细胞情形,进行骨骼放射治疗以抑制骨骼的恶化,也接受抗肿瘤血管生成的化学治疗,全面扑杀移转至各部位的癌细胞,而标靶药物的持续服用,直接对准像棒球的肺腺癌做核心攻杀,三管齐下,痛击凶恶的肺腺癌。

江雅惠指出,患者服用标靶药物一个月后,肺腺癌已明显缩小了一半,再经跨科精准治疗六个月后的回诊电脑断层影像追踪,显示他的癌细胞移转部位控制的不错,没有再恶化的现象,过去的胸痛情况已消失,而肺腺癌已缩小至3公分左右,证实这样的疗程是有很好的治疗结果。

针对肺腺癌的精准治疗,江雅惠说,可以延长患者的存活和延缓肿瘤的復发,不过,她建议民眾要定期做肺部的健康检查,肺腺癌形成的原因很复杂,能早期发现一定会有更好的治疗效果,提醒民眾如果发觉有胸痛的现象,除了要提高警觉是否为心肌梗塞前兆外,也要注意是否为肺癌移转所造成。

★吸菸有害健康 中时新闻网关心您!戒菸专线:0800-636363

#肺腺癌 #移转 #治疗 #雅惠 #癌细胞