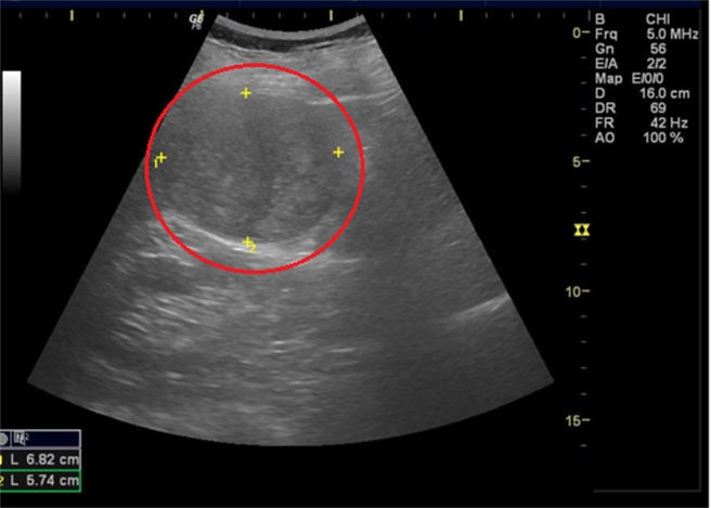
真是太幸运,做个体检竟发现肝臟有7公分大的肿瘤!一名69岁陈姓妇人日前体检抽血报告显示C肝病毒量和肝癌指数都偏高,超音波检查时发现肝臟右叶有约7公分大的肿瘤,至长安医院肝胆肠胃科就诊,进一步安排电脑断层确诊为肝细胞癌。所幸癌细胞并未扩散,病患在接受12周口服抗C肝药物后,手术切除肿瘤及部分肝叶,术后恢復状况良好,目前追踪6个月并无復发之情况。
根据卫福部统计,有八成的肝癌发生是由B、C型肝炎所造成。肝胆肠胃科医师许钰铨说,C型肝炎病毒可在人体的肝臟复制并造成一系列后续疾病,除了会加速肝炎、肝硬化、肝癌等肝病恶化三部曲外,也会造成冷凝球蛋白血症、淋巴癌、慢性肾臟疾病及皮肤疾病等表现。
许钰铨表示,该名妇人从不知道自己患有C肝,且身体状况并无任何不适,得知时心情非常错愕。幸好癌细胞并未扩散至血管或其他器官,因此先开立C肝全口服抗病毒药物,再安排手术切除肿瘤,追踪检查状况良好。
台湾目前仍为重点C肝感染区域,许钰铨指出,目前治疗C肝已有有效的口服新药,可健保全额给付、副作用少且治疗仅需12周,成功率更是高达97-99%。他也呼吁45至79岁成年人,应主动前往医疗院所或卫生所进行一生一次的免费肝炎筛检,也建议年满40岁以上每年最好做一次腹部超音波检查,一旦有异状就能立即处置。
发表意见
中时新闻网对留言系统使用者发布的文字、图片或檔案保有片面修改或移除的权利。当使用者使用本网站留言服务时,表示已详细阅读并完全了解,且同意配合下述规定:
违反上述规定者,中时新闻网有权删除留言,或者直接封锁帐号!请使用者在发言前,务必先阅读留言板规则,谢谢配合。