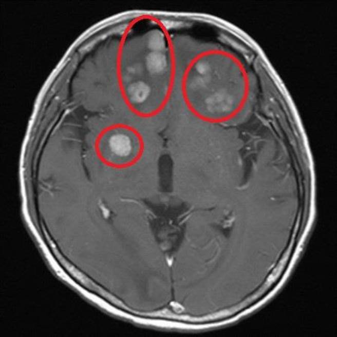
电脑断层显示,患者尚未接受抗体复合药物治疗前,脑部扩散的癌细胞。(台北慈济医院提供)
电脑断层显示,患者尚未接受抗体复合药物治疗前,脑部扩散的癌细胞。(台北慈济医院提供)
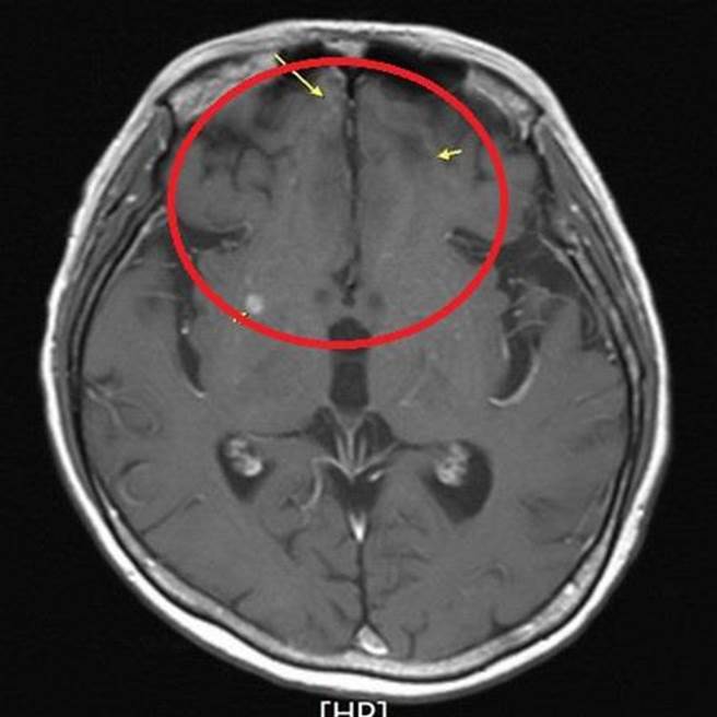
经抗体复合药物治疗后,脑部转移的癌细胞明显缩小。(台北慈济医院提供)
经抗体复合药物治疗后,脑部转移的癌细胞明显缩小。(台北慈济医院提供)

又到了3月8日「国际妇女节」,这天是专属于女性的日子,根据国健署109年数据统计,乳癌蝉联台湾女性好发癌症榜首,每年约有1.5万名女性罹患乳癌,死亡人数近3000人,且患者有年轻化的趋势。个案刘女因乳癌復发,医师决定予以新型的抗体复合药物治疗,如今恢復成效佳。

40岁的刘小姐因触摸到胸部不明肿块而至他院就医,并接受手术及荷尔蒙治疗,却在2021年復发,于是来到台北慈济医院就诊,被诊断出属于三阳性乳癌,且癌细胞已扩散至肺、肝、骨骼以及脑部,导致患者经常抽筋而造成行动不便,严重时还发生病理性骨折的状况。

慈济医院副院长张耀仁表示,部分乳癌初期没有症状,也不会疼痛,后期会表现出局部凹陷或凸出变大、皮肤异常、甚至乳头带血分泌物、凹陷或表皮发痒、变红、溃疡、乳房及腋下出现肿块。多半的乳癌患者都是在触摸到乳房肿块后才发现,但通常已进展成第二期以上,要透过手术及药物治疗才能根除病灶。

张耀仁副院长决定予以新型的抗体复合药物,加上放射性治疗,半年后,脑部转移肿瘤明显缩小,刘小姐已能自由行走,癌指数也回到正常范围内。

零期(原位癌)或一期乳癌光靠手术治疗就可达到几乎治癒的效果,不过要如何发现及早发现呢?张耀仁呼吁,民眾应定期接受乳房摄影检查,在尚未摸到乳房硬块以前,乳房摄影即可呈现X光的异常;再者,现今药物不断推陈出新,乳癌治疗成效越来越好,即使进展成第四期,也不要轻易放弃治疗,都还有三成左右的存活率。

国民健康署每两年一次,免费提供45到69岁的妇女、有乳癌家族史的40岁以上女性进行乳癌筛检,早期发现,正确治疗,乳癌是有可能治癒的。

#乳癌 #抗体 #复合 #张耀仁 #药物