台中3岁女童连续5天高烧40度不退,医师排除新冠病毒、A型流感、霉浆菌及肠病毒等常见疾病后,女童发炎指数仍飙高且食欲不佳,医师察觉状况有异,经X光检查与验尿发现是肺炎链球菌所致,幸给予抗生素治疗后,24小时内退烧,精神及食欲也恢復正常。

亚洲大学附属医院儿科主治医师陈剑韬表示,近3个月儿科门诊与急诊发烧就医的儿童人数明显增加,最近5大「魔王等级」病毒包括新冠病毒、A型流感、副流感、hMPV(人类间质肺炎病毒)和肠病毒等,共同点都是发烧;日前收治3岁女童因5天反覆高烧40度、食欲及活力下降就医,抽血检验发现白血球数值高达27000/ul,发炎指数也大于10,但安排多种病毒检验都为阴性。

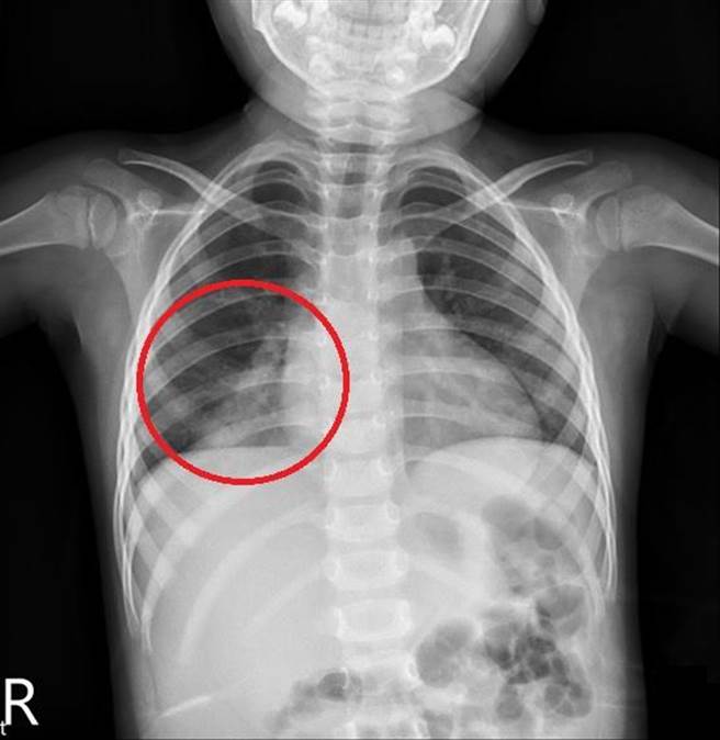
台中3岁女童连续5天高烧40度不退,医师排除新冠病毒、A型流感、霉浆菌及肠病毒等常见疾病后,检查发现为肺炎链球菌,幸给予抗生素治疗后顺利退烧、大幅好转。(亚大附医提供/潘虹恩台中传真)
台中3岁女童连续5天高烧40度不退,医师排除新冠病毒、A型流感、霉浆菌及肠病毒等常见疾病后,检查发现为肺炎链球菌,幸给予抗生素治疗后顺利退烧、大幅好转。(亚大附医提供/潘虹恩台中传真)

他说明,患者没有明显咳嗽,经安排X光检查发现女童右下肺叶明显肺炎,再送「尿液肺炎链球菌快速抗原检验」呈阳性,证实为肺炎链球菌引发右下肺炎,幸经抗生素治疗24小时内即退烧,精神及食欲也恢復正常。

陈剑韬指出,过去儿童因肺炎链球菌感染出现肋膜积水、脓胸等併发症,病程迅速,小朋友呼吸急促困难、咳不停,到院后几天就住进加护病房插胸管治疗;由于肺部无法再生,一旦出现严重肺部感染,日后即使出院也可能造成终生呼吸困难后遗症。自从公费13价结合型肺炎链球菌疫苗(PCV13)自2016年起常规施打后,感染人数明显下降、严重度也降低。

陈剑韬提醒,目前肺炎链球菌公费疫苗施打时间是在新生儿2个月、4个月及12至15个月大,除了公费提供3剂外,有1剂目前採自费的方式于6个月大施打,建议家有5岁以下小朋友的家长考虑施打,完整建立身体的免疫力。

#亚大附医 #肺炎链球菌 #陈剑韬 #新冠病毒 #疫苗