澄清医院中港院区胃肠肝胆科主治医师李政祺表示,「嗜酸性肠胃炎」症状类似细菌性肠胃炎,如果未对症治疗,很容易会反覆发作。(澄清院提供/冯惠宜台中报导)
澄清医院中港院区胃肠肝胆科主治医师李政祺表示,「嗜酸性肠胃炎」症状类似细菌性肠胃炎,如果未对症治疗,很容易会反覆发作。(澄清院提供/冯惠宜台中报导)

1位30岁女性因腹胀、腹痛、呕吐、腹泻挂急诊,最后被诊断是尘螨过敏造成少见的「嗜酸性肠胃炎」,澄清医院中港院区胃肠肝胆科主治医师李政祺表示,患者症状类似细菌性肠胃炎,但其白血球飙高,且其中嗜酸性白血球比例飙到正常值6倍,是少见的非典型肠胃炎,如果未对症治疗,很容易会反覆发作。

李政祺表示,这位女性患者在急诊时抽血验出她的白血球数高达23000(正常为400至10000),其中嗜酸性白血球比例29%(正常为5%),腹部电脑断层发现小肠壁变厚且有明显腹水情形,经收治住院治疗。

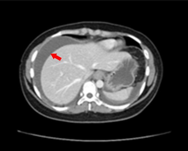
1位30岁女性因腹胀、腹痛、呕吐、腹泻挂急诊,经断层扫描检查发现患者有明显腹水。(澄清院提供/冯惠宜台中报导)
1位30岁女性因腹胀、腹痛、呕吐、腹泻挂急诊,经断层扫描检查发现患者有明显腹水。(澄清院提供/冯惠宜台中报导)

李政祺说,患者因明显腹水经抽出约800CC腹水并做化验,发现嗜酸性白血球高达76%,经胃镜取胃黏膜做切片检验,胃黏膜的嗜酸性球异常增加。人体白血球以嗜中性球和淋巴球占绝大多数,还有极少比例的嗜酸性球和嗜碱性球,嗜酸性球过高又有肠胃发炎现象,排除其他原因后,确诊为少见的「嗜酸性肠胃炎」。

通常罹患嗜酸性肠胃炎的高危险群是有过敏体质的人,排除寄生虫感染,往过敏原因再追查。李政祺说,该患者经做过敏原检查,发现对尘螨过敏程度较高,推测该患者的过敏体质接触到独特的过敏原后,将白血球中的嗜酸性球吸引到肠胃黏膜,导致患者小肠壁变厚、胃部发炎,也出现腹水,表现的症状与细菌性肠胃炎相似,如腹胀、腹痛、呕吐、腹泻情形。

李政祺指出,临床医学统计,在台湾罹患嗜酸性肠胃炎的比率约约10万分之6.3,算是少见的疾病,如果未能确诊而当成一般肠胃炎治疗,其復发的比率很高。

该患者接受类固醇药物治疗后,腹水已消去,腹胀、腹痛、呕吐、腹泻等症状痊癒,不过,李政祺特别叮咛该患者,一定要完整服用药物疗程,不能因症状改善就自行停用药物,否则仍有復发的可能,同时也请患者定期清洗床被单,杜绝过敏原尘螨滋生,以免再引发嗜酸性肠胃炎。

#尘螨过敏 #腹泻 #呕吐 #嗜酸性肠胃炎