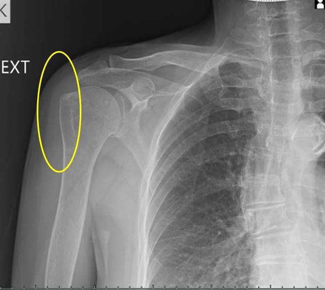
今年67岁的陈女士肩膀经常疼痛,今年1月到丰原医院挂復健科门诊,理学检查发现手臂上抬与内转时会因严重疼痛而无力,当天安排X光检查后,发现除有旋转肌肌腱炎外,还出现严重钙化,就是肩关节钙化性肌腱炎;建议她除做一般常规復健外,再安排3次的自费震波治疗,一个月后追踪照X光片发现钙化点完全消失,肩关节疼痛与功能都得到大幅度的改善。
丰原医院復健科医师张宪伯说,体外震波对钙化性肌腱炎是种非常有效的治疗方式,根据研究透过3次震波并追踪3个月后,钙化点多能显着变小,甚至有36%病人钙化点可在震波3个月后完全消失;相较于没有復健需要经过3-10年才有1/3的病人会慢慢吸收,打震波的效果快而显着。
张宪伯指出,震波用于骨骼肌肉的治疗,研究发现有7-8成的治疗效果。全世界临床医学实验也证实,体外震波是安全有效的,震波可促进肌腱血管新生,进而改善血流供应,加强受损细胞的恢復。震波能立即纾解疼痛,深受有骨骼肌肉问题困扰者所喜爱。治疗后可直接回家、低危险性、高治癒率,能有效降低手术的需求。
震波除对肩关节钙化性肌腱炎有效外,对于其他骨骼肌肉问题,包含足底筋膜炎、退化性膝关节炎、髌骨肌腱炎、髋关节炎、肩膀旋转肌发炎、五十肩、网球肘、高尔夫球肘、板机指、腕隧道症候群、甚至癒合不良骨折等都有效;一般来说2-3次的震波疗程,搭配治疗师教导的卫教,多能得到一个安全、快速又有效的治疗效果。
復健科医师余学致强调,对于肩关节肌腱钙化快速又有效的治疗方式,除震波外,透过软组织高频超音波检查,若是靠近骨头端的肌腱钙化,利用其研发的Su Ci method导引注射方法,能更准确定位也能得到非常良好的成效,提供给有肩关节肌腱钙化困扰的民眾,除復健外更多更快速治疗的选择。
发表意见
中时新闻网对留言系统使用者发布的文字、图片或檔案保有片面修改或移除的权利。当使用者使用本网站留言服务时,表示已详细阅读并完全了解,且同意配合下述规定:
违反上述规定者,中时新闻网有权删除留言,或者直接封锁帐号!请使用者在发言前,务必先阅读留言板规则,谢谢配合。