在台灣很多人打噴嚏都因為在公共場合的關係,常常會因為不禮貌而故意忍住,但這種行為在醫學界來看是相當危險的行為,一名有過敏性鼻炎病史的男子開車到一半想打噴嚏,卻沒有打出來,而是用手捏住鼻子且閉起嘴巴忍住,未料因為上呼吸道承受的壓力過大,竟造成氣管撕裂,成為全球第一起案例。

男子忍住沒打噴嚏,成為全球首例因強忍噴嚏導致氣管穿孔的病例。(圖/翻攝自BMJ官網)
男子忍住沒打噴嚏,成為全球首例因強忍噴嚏導致氣管穿孔的病例。(圖/翻攝自BMJ官網)

科學新聞網Live Science報導,《英國醫學期刊》(BMJ)1日刊登這起病例指出,打噴嚏時若緊閉口鼻,上呼吸道產生的壓力會比正常打噴嚏狀況下高出「20倍以上」,導致男子氣管撕裂出一道2x2mm的傷口。

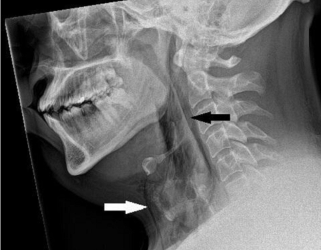
醫院檢查顯示男子的氣管出現一道撕裂傷。(圖/翻攝自BMJ官網)
醫院檢查顯示男子的氣管出現一道撕裂傷。(圖/翻攝自BMJ官網)

這名30多歲男子被送到急診室時極度疼痛,頸部兩側腫脹且活動困難,醫師檢查時還可聽見微弱的劈啪聲,不過不影響呼吸、吞嚥與說話。頸部X光檢查顯示男子出現皮下氣腫,代表有空氣堵在皮膚最深層組織下方;電腦斷層掃描結果則顯示,穿孔部位在他第三和第四節頸椎之間,還有空氣堵塞在兩顆肺之間的胸腔裡。

醫師研判,撕裂傷是因他打噴嚏時緊閉口鼻,導致氣管壓力迅速上升導致,不需要動手術,但須接受觀察,確保血氧指數等生命徵象穩定,事發後2天後順利出院。醫師除了開止痛藥和花粉症藥物,也要求他2周內不要激烈運動,事發後第5周後檢查顯示傷口已完全癒合。

報告作者寫道,這起病例應作為對他人的警告,「應該建議所有人,不要閉嘴捏鼻子來抑制噴嚏,因為這可能導致氣管穿孔。」自發性氣管穿孔的案例相當罕見,通常是由身體創傷或醫療程序引發,例如切除甲狀腺或氣管內插管,是否需手術修復取決於撕裂的位置和患者生命徵象穩定與否,嚴重可能致命。

#打噴嚏 #氣管穿孔 #上呼吸道 #英國醫學期刊 #科學新聞網