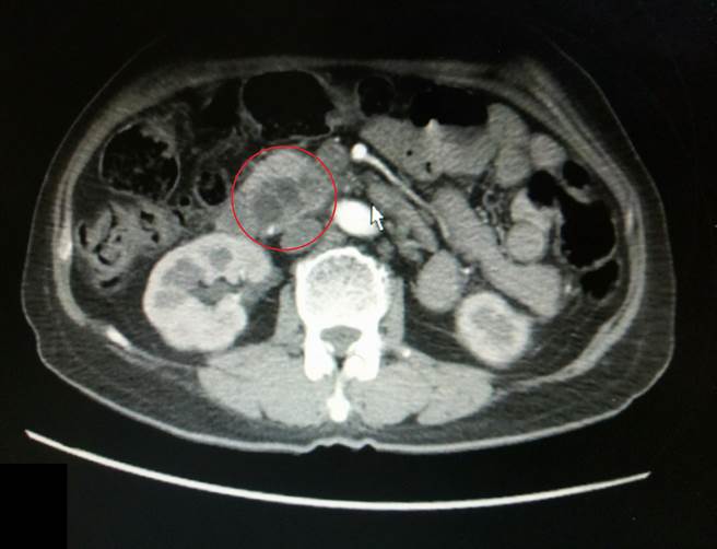
苗栗62歲劉姓婦人連續幾天發現上腹痛和小便呈現茶色的情況而就醫,經檢查發現她的黃疸和胰臟腫瘤指數偏高、膽管和胰管都阻塞,且胰臟頭有腫瘤,經切片檢查後確診為胰臟癌,並在大千綜合醫院積極治療中。院方提醒,胰臟癌初期症狀不明顯,常被誤認為是腸胃道不適而忽略,一旦確診大多為晚期,因此留意胰臟癌的三大典型症狀:黃疸、上腹痛、體重減輕,是非常重要的指標。
大千綜合醫院肝膽腸胃科主任洪吉來表示,胰臟癌常出現的症狀包含黃疸、上腹痛及體重減輕,且胰臟癌很容易轉移、擴散及侵犯重要血管,其中有85到95%的病人為胰腺癌,不但預後差,復發率也很高。目前最好的治療方法是手術,但因多數病人發現得晚,在臨床上只有15%的病人有機會接受手術治療,其餘多只能以化學及放射治療為主。因此,若能早期發現與治療,才是對抗胰臟癌的重要關鍵。
大千醫院指出,雖目前胰臟癌發生原因仍不明確,但可歸納出下列高風險族群,分別為有特定遺傳基因突變者及有遺傳慢性胰臟炎者、家族內一等親有2人(含)以上罹患胰臟癌者、有慢性胰臟炎或胰臟內有水瘤的病人、肥胖、糖尿病患者,尤其是年過50歲才罹患糖尿病的病人。
洪吉來建議,高風險族群一定要定期接受腹部超音波、電腦斷層等影像檢查,才能及早揪出胰臟癌。雖然胰臟癌是相當難纏的癌症,但高危險族群若能定期接受檢查,並留意胰臟癌的症狀,就能早期發現、早期治療,成功對抗胰臟癌的威脅。
發表意見
中時新聞網對留言系統使用者發布的文字、圖片或檔案保有片面修改或移除的權利。當使用者使用本網站留言服務時,表示已詳細閱讀並完全了解,且同意配合下述規定:
違反上述規定者,中時新聞網有權刪除留言,或者直接封鎖帳號!請使用者在發言前,務必先閱讀留言板規則,謝謝配合。