台中、苗栗4月6日起將實施「供五停二」限水,許多民眾四處尋找水源,但要小心衛生安全問題。亞大醫院肝膽腸胃科主治醫師陳政國過去就曾收治一名患者,該病患登山時因口渴直接生飲山泉水,返家後出現腹瀉、高燒不退情況,就醫才知感染阿米巴原蟲,所幸接受抗生素治療後痊癒,呼籲大家用水一定要煮沸。
陳政國說,山泉水含有豐富礦物質,喝起來口感甘甜,許多民眾到山區休憩,口渴時會掬一把山泉水直接喝,而近來中部地區鬧水荒,不少民眾上山取用山泉水,如果未經過妥善處理,可能會把細菌也吞下肚。
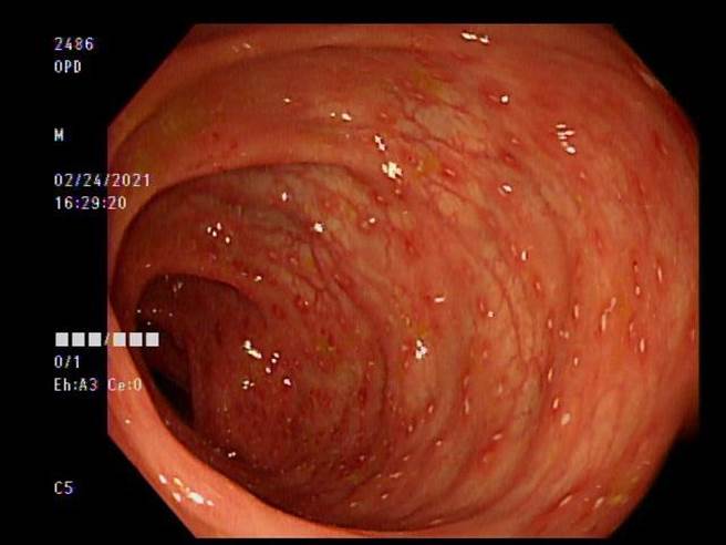
陳政國舉例,他多年前曾收治一名患者,該病患是登山時喝了未煮過的山泉水,返家後出現腹痛、腹瀉、發燒情況,診斷才知是寄生蟲感染合併肝膿瘍,接受約2個月抗生素治療才痊癒,而其實,山泉水內除礦物質,還常含有許多微生物,甚至可能遭受動物排泄物汙染。
陳政國進一步解釋,山泉水內常見的微生物包括有志賀氏菌、大腸桿菌、鉤端螺旋體菌、阿米巴原蟲等,此類微生物會導致患者出現腹瀉、嘔吐或發燒、貧血症狀,嚴重時甚至可能引發血便、腎衰竭或敗血症,而生吃、生飲也可能將蟲卵吃下肚,過去也曾發生民眾用山泉水洗手後剝橘子吃,卻將鉤狀螺旋體菌吃下肚。
陳政國強調,使用山泉水前務必要先將水煮沸,尤其是糖尿病、癌症患者或老年人、小孩等免疫力低下者,尤其應切忌生飲山泉水,而即便是免疫力正常者若感染腸道寄生蟲,也可能不慎傳染給別人,民眾應特別留意。
發表意見
中時新聞網對留言系統使用者發布的文字、圖片或檔案保有片面修改或移除的權利。當使用者使用本網站留言服務時,表示已詳細閱讀並完全了解,且同意配合下述規定:
違反上述規定者,中時新聞網有權刪除留言,或者直接封鎖帳號!請使用者在發言前,務必先閱讀留言板規則,謝謝配合。