確診者猝死家中頻傳 醫師揭「快樂缺氧」是殺手

台灣疫情持續延燒,23、24日皆有6例確診者死亡。急診科醫師柯世祐表示,一名年近70歲男子,因有萬華接觸史,咳嗽整天,並伴隨喘的症狀,到急診就醫照了X光片後,醫師認為必須要馬上插管,由於家屬不願意,只好給予高濃度的氧氣及藥物,沒想到男子不到24小時就病逝,他感嘆「未來在急診喘到死掉的病患只會越來越多」。

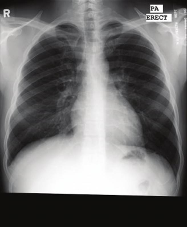
正常未染疫的肺部。(圖/翻攝自柯世祐臉書)
正常未染疫的肺部。(圖/翻攝自柯世祐臉書)

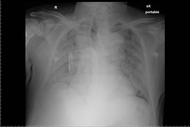
柯世祐醫師今稍早在個人臉書發文,分享兩張X光片表示,一名近70歲的男性有咳嗽症狀,並伴隨呼吸急促、喘,該男子因有萬華接觸史,家人趕緊將他送至醫院急診,醫護人員隨即幫其做檢查,並照X光,發現肺部呈現大片白色,必須馬上插管治療。

因男子及家屬不願插管及急救,醫護人員只好給予高濃度的氧氣及藥物,沒想到短短不到24小時,該男子就病逝了。柯世祐醫師說,這種在急診室喘到病逝的病患只會愈來愈多,病患一個人默默地在急診嚥下最後一口氣,沒有一點聲響、沒有一點回音,也沒有人陪伴,淹沒在新冠病毒的洪流中,宛如我們看到的國外慘況。

該男子的肺部因染疫,呈現整片白色。(圖/翻攝自柯世祐臉書)
該男子的肺部因染疫,呈現整片白色。(圖/翻攝自柯世祐臉書)

柯世祐感嘆,大家都以為自己不會染病,也不會是重症感染者,確診的人都沒有錯,但是一旦確診就有很高的機會把病毒傳染給家人,呼籲疫情期間沒事待在家裡。

★《中時新聞網》提醒您:因應新冠肺炎疫情,疾管署持續加強疫情監測與邊境管制措施, 如有疑似症狀,請撥打:1922專線,或 0800-001922, 並依指示配戴口罩儘速就醫,同時主動告知醫師旅遊史及接觸史,以利及時診斷及通報。

#新冠肺炎 #台灣 #柯世祐 #醫師 #接觸史